WoundReference logo

Diabetic Foot Ulcer - Introduction and Assessment

Diabetic Foot Ulcer - Introduction and Assessment

Diabetic Foot Ulcer - Introduction and Assessment

ABSTRACT

A diabetic foot ulcer (DFU) is defined as a full-thickness wound (i.e, involving the subcutaneous tissue) below the ankle, or as a lesion of the foot penetrating through the dermis, in people with type 1 or type 2 diabetes.[1][2] DFU is the leading cause of lower-extremity amputation and hospitalization.[3] Once lower extremity amputation due to diabetes has occurred, access to care and treatment seem ineffective in preventing death.[4] Mortality rate at 5 years post diabetes-related amputation has been described as high as 74%, worse than most cancers.[4][5]

Peripheral artery disease (PAD) and consequent ischemia are increasingly common in the pathogenesis of DFU, often in combination with neuropathy. In the last 2 decades, there has been a change in the patterns of ulceration seen in Western countries, with the previously predominant neuropathic ulcer having been replaced by neuroischemic ulcer (combination of neuropathy and angiopathy) as the most frequently seen in many settings.[6][7] 

History: Patients with diabetic foot ulcers (DFUs) need a comprehensive assessment and history including diabetes status, comorbidities, medication, nutritional, functional and psychological status, activities of daily living, presence of depression, alcohol consumption, and smoking.[8][9]

Physical Examination: Diabetes is a systemic disease and patients frequently present with comorbidities. Foot evaluation includes visual inspection, palpation, sensation and gait assessment.  Etiology of the ulceration including circulation and signs of infection should also be included. Special attention should be given to footwear, skin and pedal deformities, Charcot arthropathy, peripheral vascular disease, and presence of neuropathy.

Diagnosis: The diagnosis of DFU is predominantly clinical and involves identification of type of DFU (neuropathic, ischemic or neuroischemic).[7][8][10]  Objective noninvasive arterial testing is indicated to all patients with DFU, to assess blood supply to the ulcer. Due to high prevalence of arterial calcification among patients with diabetes, ischemia should be documented by continuous doppler wave ultrasound, toe pressure, transcutaneous oxymetry (TcPO2) or skin pressure perfusion.[11] Urgent vascular imaging and revascularization is indicated if: continuous doppler wave ultrasound shows monophasic flow, toe pressure < 30 mmHg,TcPO2 < 25 mmHg.

Differential diagnoses: Alternative types of ulcerations: venous insufficiency, arterial, traumatic, pressure, vasculopathies, idiopathic neuropathy, and malignancies should also be considered.

Classification systems and characterization of DFUs: Ulcer classification systems may guide treatment, help predict outcome, and are useful for research and audit.[12][8][13] In the in the United States, the Wagner system is often utilized by hyperbaric wound centers. The more recent system Wound, Ischemia and foot Infection (WIfI) by the Society for Vascular Surgery (SVS) has been shown to correlate with important outcomes for limb salvage and wound healing.[11][14] See most used DFU classification systems in “Diabetic Foot Ulcer and Infection Classification Systems”   

Ulcer prognosis (healability) assessment: Aims to determine whether the ulcer can be healed with active conservative management alone (healable) or not (non-healable) or if co-existing medical conditions, drugs or circumstances will likely impede wound healing (maintenance). Determination of ulcer healability helps creation of an adequate treatment plan.[15][16]

Documentation: To be completed at least once a week; adequate documentation helps track wound healing progress. Proper documentation includes number and position of ulcers on the leg, wound measurements including area, perimeter, and depth, description of wound edge (pre and post debridement), peri-wound area, wound base quality, amount and type of drainage, any signs of infection, and previous history of debridement. Signs of DFU improvement need to be documented to support medical necessity (as per Medicare requirements). As part of a patient-centered approach, it is recommended that clinicians adopt patient-reported outcome measures to assess patient’s Quality of Life (QOL), pain, and depression. See medical documentation templates and pictures for each of the most used DFU classification systems in “Diabetic Foot Ulcer and Infection Classification Systems".

Treatment: See "Diabetic Foot Ulcer - Treatment", "Diabetic Foot Ulcer Associated with Infection - Management", "Diabetic Foot Ulcer Associated with Ischemia - Management"

Prevention and Patient Education: See "Diabetic Foot Ulcer - Prevention"

When to refer to specialists: 

  • Surgeon with experience in foot surgery: tissue loss, infection and palpable pulses, urgent surgical intervention for deep abscesses, compartment syndromes, and all necrotizing soft tissue infections.[17] 
  • Vascular specialist: if PAD is suspected. Urgent referral if acute limb ischemia, manifested by six ‘Ps’ (onset<2 weeks): pain, pallor, pulselessness, poikilothermia (cold), paresthesias, and paralysis. Critical limb ischemia (onset >2 weeks): ischemic rest pain, nonhealing wound/ulcers, or gangrene attributable to objectively proven arterial occlusive disease.[18]
  • Nutritionist at initial evaluation, orthotist for offloading, podiatrist for foot deformities, hyperbaric oxygen therapy specialist for Wagner 3 and above. Respective specialists if associated metabolic, hematologic, autoimmune, oncologic diseases are suspected.
  • Hospice: if the patient is certified as terminally ill (prognosis of 6 months or less) by their attending provider (if they have one) and the hospice provider.[19]

ICD-10 Coding: See 'Appendix - ICD-10 Coding'

Clinical Guidelines and Quality Measures: See topic "Diabetic Foot Ulcers - Overview"

      Algorithm for Assessment of DFU   |     Podcast DFU Introduction and Assessment

    INTRODUCTION

    Background

    • Definition: A diabetic foot ulcer (DFU) can be defined as a full-thickness wound (i.e, involving the subcutaneous tissue) below the ankle, or as a lesion of the foot penetrating through the dermis, in people with type 1 or type 2 diabetes.[1][2] 
    • Relevance of DFU:
      • DFU is the leading cause of lower-extremity amputation and hospitalization [3]:
        • It is estimated that worldwide an amputation due to diabetes occurs every 30 seconds.[20]
        • Approximately 80% of diabetes-related lower extremity amputations are preceded by a DFU.[21]
        • About 60% of nontraumatic lower-limb amputations among people aged 20 years or older occur in people with diagnosed diabetes.[22]
        • Once lower extremity amputation due to diabetes has occurred, access to care and treatment seem ineffective in preventing death.[4] Mortality rate (5 year, unadjusted) post diabetes-related amputation is 39%, comparable to that of colorectal cancer.[4]
      • DFUs frequently result in a chronic condition:
        • Despite multidisciplinary treatments, up to 67% of diabetic foot ulcers (DFUs) may persist after 20 weeks of care.[23][24][25]
        • As for recurrence, more than 70% of patients with a healed DFU may experience an exacerbation of the disease in the next 5 years.[26]
      • DFUs have a significant negative impact on quality of life (QOL): Persons suffering from a non-healing DFU have approximately 10% to 40% lower QOL scores than the general population, which is equivalent to the impact caused by myocardial infarction.[12]
      • DFUs incur high healthcare expenditures:
        • The annual cost of diabetic foot disease in the United States has been estimated to be at least $6 billion.[21]
        • Reimbursement of Medicare services can cost more than US$ 33,000 per year per beneficiary with active DFU and more than US$ 52,000 per year per beneficiary with a lower extremity amputation due to diabetes.[27]

    Epidemiology

    Incidence

    • Diabetes: Worldwide, there were 422 million adults with diabetes in 2014, compared to 108 million in 1980. These numbers represent an increase of near 100% in global prevalence of diabetes in 14 years, rising from 4.7% to 8.5% in the adult population.[28] In the US, it is estimated that 29 million adults had diabetes in 2016, representing 9.3% of the total population.[29]
    • DFU: The annual incidence of development of a foot ulcer in people with diabetes is 1% to 4%, and the lifetime risk is approximately 12% to 25%[30][31]

    Prevalence

    • Overall, the annual prevalence rate of DFU and lower extremity amputations among Medicare beneficiaries in 2008 was approximately 8% (2.55 million) and 1.8% respectively.[32] DFU prevalence among Medicare beneficiaries in 2014 was 4.1% (2.31 million).[33] 

    Risk Factors

    • Several risk factors can help predict development of DFU and complications such as lower extremity amputation, delayed healing, and infections. The most important risk factors for development of DFU are previous DFU or amputation, diabetic peripheral neuropathy (DPN), peripheral artery disease (PAD), and pathologic foot deformities (e.g. Charcot arthropathy). Risk factors for other complications of DFU are listed below.
    • Most DFU are preventable if risk factors are identified and addressed early [34]. Therefore, aggressive long-term management is necessary, especially to prevent recurrence for resolved ulcers. All people with diabetes, even those who never experienced a DFU or other diabetes-related foot complication, should have a comprehensive foot exam at least annually in order to assess risk of developing diabetes-related foot complications, implement proper interventions, and schedule follow up. See topic on “Diabetic Foot Ulcer - Prevention and Patient Education” 

    Risk factors for DFU

    For more details and references on each risk factor, see Appendix - Risk Factors

    • Previous DFU or amputation [35]
    • Diabetic peripheral neuropathy (DPN) [35]
    • Plantar callus [36]
    • Foot deformity [37]
    • Peripheral artery disease (PAD) [35]
    • Poor glycemic control [38]
    • Smoking [38]
    • Male gender [39]
    • Longer duration of diabetes [7][35][38][39]
    • Visual impairment [40]
    • Depression [40]

    Risk factors for lower extremity amputation due to DFU

    For more details and references on each risk factor, see Appendix - Risk Factors

    • Previous amputation due to DFU complications[12]
    • Peripheral artery disease [6]
    • Infection and peripheral artery disease [21][7][41][41][42][43]
    • Infection [42][44]
    • Diabetic peripheral neuropathy [43][45]
    • DFU probing to bone [7][42][43]
    • Higher HbA1c [46]
    • Hemoglobin < 11g/dL [47]
    • Smoking [48][44]
    • Hypertension, ischemic heart disease, cerebrovascular disease [49]
    • Male gender [50][44]
    • History of DFU [44][51]

    Risk factors for delayed healing of DFUs

    • For all DFU patients (neuropathic, ischemic and neuroischemic ulcers): Independent baseline predictors of non-healing DFU (no healing in 1 year) are older age, male sex, heart failure, the inability to stand or walk without help, end-stage renal disease, larger ulcer size (>1 cm2), diabetic peripheral neuropathy (DPN), and PAD.[6].
    • For DFU patients with purely neuropathic ulcers: Ulcers larger than 2cm2 with longer duration (>2 months) and Wagner ulcer grade >= 3 have 79% of chance of not healing within 20 weeks of standard wound care [52]. Glycemia, as measured by HbA1c, may be an important predictor of neuropathic DFU. It has been shown that for each 1.0% point increase in HbA1c, the daily wound-area healing rate slows by 0.028 cm2 per day (95% CI 0.003 - 0.0054, P = 0.027).[53]
    • Other factors that can interfere with wound healing: The patient’s general health status (e.g., nutritional status), certain medications (e.g., steroids), and other common complications of diabetes (e.g., renal insufficiency) can all affect the healing process.[54]

    Risk factors for diabetic foot infection

    • A study that analyzed 853 patients with DFU without infection found that 40% developed infection within 1 year of follow-up. Risk factors were DFU involving deeper structures, previous DFU history, DPN, foot deformity, younger age, female gender, and DFU that have not healed by 3 months after presentation.[55]

    Etiology

    • DFUs result from a combination of neuropathy, PAD, and local factors. Local factors include infection, foot deformity (intrinsic muscle contractures from tendon glycosylation), improper footwear, presence of previous ulceration, neuropathic fractures, soft tissue alterations, and gait alterations [56]. Figure 1 illustrates the etiology and pathophysiology of DFUs.

    Figure 1. Etiology and pathophysiology of diabetic foot ulcers. Adapted from Boulton [7] and Alavi [12]

    • Roughly, DFU can be classified as neuropathic, ischemic, or neuroischemic, depending on the predominant causal factor.[7][8][10] Frequency of each of these 3 etiologies of DFU is listed below [7][10][57]:
      • Neuropathy alone: accountable for about 35% of the cases of DFU (neuropathic DFU)
      • Peripheral arterial disease (PAD) (also referred to as ischemia or angiopathy) alone: accountable for 15% of the cases (ischemic DFU)
      • Combination of both neuropathy and angiopathy: about 50% of cases (neuroischemic DFU).
    • Soft tissues of the foot can become ischemic due to macrovascular disease (atherosclerosis) but can also be complicated by associated microvascular disease [10][58].
    • “Ischemia” in this classification represents macrovascular disease.[12]
    • “Neuroischemia” has been defined as the combined effect of DPN and ischemia, whereby macrovascular disease, and in some instances, microvascular dysfunction impair perfusion in a diabetic foot [8]. Previously published DFU research often ignored PAD as a potential risk factor and/or important cause. However, ischemia has gained recognition as a significant cause of DFU, with increasing prevalence in developed countries.[10]
    • Nonhealing DFUs are associated with chronic low-grade inflammation that can prevent overall progressive healing. [51]

    Peripheral neuropathy

    • Peripheral neuropathy can occur in many conditions such as diabetes, autoimmune diseases (e.g. Guillain Barre, rheumatoid arthritis, lupus, hypothyroidism), nutritional deficiencies, Hansen’s disease, and others.[59]
    • In DFU, the most common type of neuropathy is the chronic sensory and motor DPN, but peripheral autonomic sympathetic neuropathy may also play a role.[7][60] Many individuals affected by DFU will present with all three types of neuropathy, referred to as "tri-neuropathy" (See Figure 1 above):
    • Diabetic peripheral neuropathy (DPN):
      • Most common neuropathy in patients with diabetes, with a prevalence of 25-50%.[7][60]
      • Most important cause of DFU and also a prerequisite in the development of Charcot neuroarthropathy.[60][61]
      • DPN is a sensorimotor neuropathy and although symptoms are predominantly sensorial, motor dysfunction is common, causing weakness and instability at the ankle and even the knee. This dysfunction leads to muscle atrophy and increased risk of DFU due to secondary alterations in the biomechanics of the foot and subsequent altered plantar pressures.[7] Furthermore, people with sensory neuropathy have loss of protective sensation and may not feel when their feet are injured, increasing the risk of DFU. More than 80% of patients with DFU may have loss of protective sensation (LOPS).[62]
    • Distal autonomic sympathetic neuropathy: signs of this type of neuropathy include xerotic (dry) skin, propensity for callus formation (hyperkeratosis) over high-pressure areas on the plantar surface of the foot, and noted calor of the foot in the absence of large-vessel peripheral vascular disease.[7]

    Peripheral artery disease (PAD)

    • PAD is highly prevalent among people with diabetes, with a rate of 13-24.5%.[63][41]
    • PAD and consequent ischemia are increasingly common in the pathogenesis of DFU, often in combination with neuropathy. In the last 2 decades, there has been a change in the patterns of ulceration seen in Western countries, with the previously predominant neuropathic ulcer having been replaced by the neuroischemic ulcer as the most frequently seen in many settings.[6][7] 
    • Once a DFU has developed, PAD is one of the major risk factors associated with delayed healing, infection, and amputation.[6]

    Local factors

    • DFU development requires an external stimulus coupled with presence of peripheral neuropathy and/or PAD. For instance, patients with LOPS do not develop DFU spontaneously, but rather as a result of injuries to the foot that go unnoticed. The most common triad of causes that interact and ultimately result in ulceration has been identified as sensory neuropathy, foot deformity, and local trauma.[64][65]
    • Abnormal mechanical stress: Altered plantar pressures may cause local trauma to the foot. Mechanical stress at the plantar surface has two components: 1) pressure, acting perpendicular to the surface and 2) shear stress, acting tangential to the surface. Both components play a major role in the etiology of DFU.[66] Abnormal mechanical stresses can be caused by extrinsic and intrinsic factors [67]:
    • Extrinsic:
      • Improper footwear: In Western countries, this is the most common trauma leading to DFU. Inappropriate footwear may include shoes which are not adequate in width or support, or those which are too worn to function. Footwear not covering the toes, heels, and sides of the feet leave patients vulnerable to injury, foreign bodies, and contamination of existing alterations in skin integrity such as fissured callus. Repeated normal stress (pressure) and shear stress during walking contribute to blister and callus formation, as well as ulceration to the plantar aspect of the foot.[61][37]
      • Improper foot care: Improper nail trimming, especially in patients who have poor vision, can lead to cutaneous injuries in subsequent infection. Soaking of the feet, shaving of callus using commercially available cosmetic planing devices, and applying skin care products to the feet not intended for patients with diabetes are relevant contributors to diabetes-related foot complications.
    • Intrinsic:
      • Foot deformities caused by motor neuropathy (e.g., claw or hammer toes) or neuropathic fractures (e.g, Charcot arthropathy).[68] See section “Assessment - Physical Examination” below.

    Infection

    • It was previously believed that DPN, PAD, and infection were the main causes of ulceration. However, it is now recognized that infection occurs as a consequence of ulceration, and is not a cause thereof.[7][40]

    Pathophysiology

    • The pathophysiology of DFU involves several contributory factors, including DPN, PAD and repetitive trauma (Figure 1).[12][7]
    • Peripheral neuropathy: There are several proposed mechanisms that contribute to development of sensory, motor and autonomic neuropathy. A prevailing view of the pathogenesis is that oxidative and inflammatory stress may, in the context of metabolic dysfunction, damage nerve cells.[60] Some of the proposed pathways are nitric oxide blocking and the Maillard reaction between sugars and amino acids.[12] Peripheral neuropathy in DFU can be divided into 2 types:
      • Diabetic peripheral neuropathy (DPN):
        • Sensory neuropathy: leads to undetected repetitive injury to the foot. [12][7]
        • Motor neuropathy: causes atrophy of intrinsic muscles of the foot, which leads to problems like loss of strength, range of motion, and balance. These problems may result in foot deformities such as pes cavus, claw toes, hammer toes, plantar-flexed rays, and hallux valgus. Foot deformities and limited joint mobility cause callus formation over pressure points, which further increases pressure. Ultimately, DFU is a consequence of high pressure in areas that are not anatomically suited to bear weight. [56]
      • Distal autonomic sympathetic neuropathy: leads to dry, cracked and fissured skin due to altered sebaceous and sweat gland function, reduced skin lubrication, impaired microcirculation, and decreased skin perfusion. [56]
    • Peripheral artery disease (PAD): Micro- and macrovascular disease in persons with diabetes may impair healing of the ulcers and is critically important. Ischemia has been reported as a contributing factor in 90% of people with diabetes undergoing major amputation. Prolonged inflammatory response within the microcirculation can lead to thickening and changes of capillary basement membranes, compromising the normal movements of nutrients and activation of leukocytes between the capillary lumen and the interstitium. Accelerated atherosclerosis and decrease in caliber of lumen may explain the poor tissue perfusion and limited capacity for vasodilatation in response to local injury, leading to functional ischemia. [12]
    • Inflammatory cytokines and susceptibility to infection: Once an ulcer develops, susceptibility to infection exists because of a loss of innate barrier function. In chronic wounds, microorganisms aggregate and proliferate to create communities where they encase themselves within extracellular polymeric substances containing polysaccharides and lipids. This encased collection of microorganisms, known as a biofilm, increases resistance to antimicrobial, immunologic, and chemical attacks. Impaired macrophage function (a key player in tissue repair) also contributes to slow healing and increased susceptibility to infections of DFU [12][9].
    • Charcot arthropathy: In this syndrome, also known as “Charcot foot”, patients with DPN develop muscle atrophy, which leads to joint instability. Minimal or unperceived trauma results in fractures/dislocations of bones and joints. In the acute stage, there is inflammation and bone reabsorption, which weakens bones. When Charcot arthropathy becomes chronic, residual foot deformities are frequently present. The arch collapses and the foot may develop a ‘rocker bottom’ appearance. Foot deformities can lead to high pressure on areas that are not suited for weight bearing or on areas in contact with improper footwear, which will result in foot ulcers [8][68]. See “Assessment - Physical Examination - Musculoskeletal: Charcot Arthropathy”

    ASSESSMENT

    This section focuses on DFU-specific elements that need to be included in a comprehensive assessment of patients with DFUs, based on recommendations from the American Diabetes Association, International Working Group of the Diabetic Foot, WOCN and other relevant professional associations. For foot evaluation of patients with diabetes but without an active DFU, see topic on “Diabetic Foot Ulcer - Prevention and Patient Education” 

    • Patients with DFUs need a comprehensive assessment and history including diabetes status, comorbidities, medication, nutritional, functional and psychological status, activities of daily living, presence of depression, alcohol consumption, and smoking [8][9]. Physical examination also needs to be thorough as diabetes is a systemic disease, and patients frequently present with comorbidities.
    • Primary goals of assessment are:
      1. To screen for significant signs and symptoms, and differentiate from other types of lower extremity ulcers, which may require different treatments [69]. See 'Differential Diagnoses'
      2. To identify risk factors for DFU, amputation, delayed healing, infection. See details in 'Risk Factors'
      3. To classify DFU using one of the many classification systems available, as classification guides treatment and prognosis.[12][8][13] See 'DFU Classification'
      4. To determine healability, that is, if the DFU has potential to heal with conservative interventions only. See 'Ulcer Healability'.

      See Algorithm for Assessment of Diabetic Foot Ulcers below (Algorithm 1)

      Algorithm 1. Algorithm for Assessment of Diabetic Foot Ulcers (click on this link to enlarge)

      History

      History is one of the most important aspects of assessment. During history, it is essential to capture information on the items listed in Table 3, as their presence suggests increased risk for DFUs, amputation, delayed healing or infection.

      Table 3. History - the following specific factors should be screened for when evaluating a patient for possible DFU.: Lower extremity amputation, : Diabetic foot ulcer,: Delayed healing, : Infection, : Other causes of peripheral neuropathy

      Chief complaint and history of present illness (HPI)

      Risk Factor for

      Age, gender: older age, male sex

                         

      Onset of ulcer: longer period since onset (i.e., more than 3 months)

                            

      Diabetes: poor glycemic control

         

      Diabetes: longer duration of diabetes

               

      Local foot factors: history of calluses, improper footwear

               

      Local foot factors: history of foot deformities

                            

      Treatments so far: History of prescribed and self-prescribed wound care and medications [69], ability to offload or tolerate offloading devices
      n/a

      Previous DFU or amputation

                      

      Infection: history of pain, redness, warmth, induration or pus. Half of patients with infected DFU lack history of fever [70] See 'Diabetic Foot Infection' below

      Diabetic peripheral neuropathy: neuropathic symptoms can be both positive or negative:

      • Positive symptoms: pain history and characteristics - burning or shooting pain, electrical or sharp sensations, etc [64]. Assess onset, duration, location, precipitating/alleviating factors and presence of altered sensitivity to normally painless stimuli or an exaggerated response to painful stimuli. The description of neuropathic pain may be specific to the disease state [69].
      • Negative symptoms: numbness, feet feel dead [64]

                            

      Peripheral arterial disease:

      • Screen for PAD by checking for history of decreased walking speed, leg fatigue, claudication, decreased pedal pulses [70][71], rest pain, nonhealing ulcer, lower limb bypasses, angioplasty [64]

                      

      Medications

      Risk Factors for

      Steroids, antibiotics, anticonvulsants, angiogenesis inhibitors, nonsteroidal anti-inflammatory drugs

                         

      Social history

      Risk Factors for

      Tobacco [69]

                                    

      Alcohol [69]

                                          

      Review of Systems (not addressed in HPI)

      Risk Factors for

      General: poor nutrition (see 'Nutrition' below), immunosuppression [69]

                                    

      HEENT: check diabetes complications such as visual impairment [64]

               

      Cardiovascular: congestive heart failure

                         

      Cardiovascular: hypertension

      Genitourinary: impaired renal function, end-stage renal disease

                         

      Musculoeskeletal: inability to stand or walk without help

                         

      Others: obesity, hypothyroidism, pernicious anemia, collagen and metabolic diseases, neuromuscular diseases  [69]

                                          

      Nutrition

      • Clinical guidelines recommend nutritional assessment for patients with DFU; weight, albumin and prealbumin are helpful in identifying malnutrition. [72][73] Poor nutrition may be a risk factor for delayed DFU healing.[72] Patients with DFU are commonly ambulatory and not at extremes of nutrition, but nutritional support is required in cases of malnutrition [72]
        • Standardized tools such as the "Nestlé MNA" and "Self-MNA®" by Nestlé can be used
        •  Medicare Quality Payment Program, Quality Measure:
          • "Process Measure: Nutritional Screening and Intervention Plan in Patients with Chronic Wounds and Ulcers" 
          • "Patient Reported Nutritional Assessment and Intervention Plan in Patients with Wounds and Ulcers"
          • "Preventative Care and Screening: Body Mass Index (BMI) Screening and Follow-Up"

      Patient's and caregivers' concerns 

      • Patient's and caregiver's concerns and psychosocial aspects should be assessed and taken in consideration when creating a treatment plan:
        • Evaluate patient's concerns: examples include odor, pain, ability to carry out daily activities. Patients at risk for amputation worry about recurrence, function, walking, and self-sufficiency.[74] Family and caregivers may underestimate potential complications of a non-treated DFU (e.g. amputation, infection) and might expect the patient to carry on with work and daily activities normally. 
          •  Medicare Quality Payment Program, Quality Measure: "Pain Assessment and Follow-Up"
        • Evaluate psychosocial aspects of the patient, caregiver and family: cognitive, functional, emotional status, understanding of the wound and risk factors, preference for treatment, motivation for adherence to the care plan, financial concerns
        • We recommend use of Patient-Reported Outcome Tools to assess aspects above and measure impact of interventions. See 'Patient-reported outcomes (PRO) tools' below.

      Physical Examination

      Patients with DFU require a complete physical examination, which is a key component of the assessment [64]. Curated Video 1 illustrates an example of comprehensive diabetic foot examination, including the Semmes Weinstein monofilament exam. Besides elements of a typical diabetic foot exam (inspection, palpation, sensation and gait) illustrated in the video, the actual ulcer(s) and possible signs of infection should also be examined. For diabetic foot Quick Reference Guides, refer to 'Clinician Guide for the Diabetic Foot Exam' and the '60-Second Screen For The Diabetic Foot' in topic "Diabetic Foot Ulcer - Prevention".

       

      Video 1. Diabetic Foot Exam

      Inspection

      General
      • Foot care: observe feet hygiene and evidence of self-care. Assess patient's routine foot care practices regarding cleansing, moisturizing, and self-foot exam routine. Assess patient's ability to see all aspects of the foot, as well as to reach the foot.[13]
      • Footwear: Inadequately fitting footwear frequently results in rubbing, erythema, blister, or callus, and eventually DFU.[61][64] It is best to check for proper shoe fit in weight-bearing areas with the patient in the standing position and later in the day, as swelling occurs after prolonged upright positioning.
      •  Medicare Quality Payment Program, Quality Measure: "Diabetes Mellitus: Diabetic Foot and Ankle Care, Ulcer Prevention - Evaluation of Footwear"

      Proper Shoe Fit. Adapted from [56][75]

      • Shape of the shoe should resemble the shape of the foot
      • Ball of foot should fit comfortably in the widest part of the shoe
      • There is a 3/8 to 1/2 inch space between the longest toe and the end of the shoe
      • Laces or straps adjust for a snug fit over the instep
      • There is a snug fit around the heel
      Dermatological  
      • Assess skin status: early stage skin disorders (e.g., cutaneous infection, dry skin, pruritus) are often neglected and can lead to DFU if untreated [64][13][76]
        • Color:
          • Red: may indicate Charcot arthropathy or active infection (if accompanied by local warmth, pain or induration)
          • Pink: an ischemic foot may appear pink due to arteriovenous shunting.
        • Dryness, fissuring/cracking, sweating: suggestive of autonomic neuropathy
        • Presence of callus (particularly with hemorrhage), fissures: pre-ulcerative signs
      • Assess nails and hair [13]:
        • Abnormal toenail growth and appearance: could indicate frequent trauma
        • Nail infection, lack of hair growth over toes: could indicate decreased perfusion/poor vascular status
      Musculoskeletal - Foot Deformities
      • Foot deformities: can increase plantar pressures and result in skin breakdown. Examples are hammer toe (distal phalangeal extension) and claw toe (metatarsophalangeal joint hyperextension with interphalangeal flexion) [64] (Figure 2)


      Figure 2. Left: hammer toe, Right: claw toe


      Musculoskeletal - Charcot Arthropathy
      • Charcot arthropathy: occurs in the neuropathic foot and most often affects the midfoot (tarsus and tarsometatarsal joints). In its acute phase it may present as a unilateral red, hot, swollen, flat foot with profound deformity. DFUs may or may not be present [64]. In its chronic phase, residual foot deformities are frequently present. Figure 3, Figure 4 and Figure 5.

      Figure 3. Charcot arthropathy

      Figure 4. Charcot arthropathy clinical examination. Diffuse swelling is noted to the left foot in a typical, Charcot presentation in a 45-year-old male diabetic. The swelling is diffuse and non-painful. [77]

      Figure 5. Charcot arthropathy X-ray. Oblique view X-ray in a 45-year-old male diabetic revealed a divergent, Lisfranc dislocation of the first metatarsal with associated lesser metatarsal fractures. [78]

      Palpation

      Edema
      • Assess for edema location (generalized/localized, unilateral/ bilateral) and type (pitting/ non-pitting) (See Figure 6 and 7) 
      • Correlate with co-morbid conditions such as heart failure, nephropathy, venous insufficiency, lymphedema, phlebolymphedema. add link to topics
        • For patients with edema or lymphedema requiring compression therapy, evaluate adherence to use of gradient compression stockings or other Compression Therapy.
      • Rule out neuropathic Charcot foot involvement for unilateral edema with bounding pulses.
      • Obtain serial foot/leg measurement if edema is circumferential. It is important that the measurement be taken always at the same anatomical location, with the same method to allow comparison.

      Figure 6. Pitting edema. Applying pressure to the edematous area causes indentation that persists for some time

      Figure 7. Non-pitting edema, caused by lymphedema.                              

      Vascular Assessment

      Acute limb ischemia: is a clinical emergency characterized by the six ‘Ps’ (pulselessness, pain, pallor, poikilothermia, paraesthesia and paralysis). Refer to vascular specialist as soon as possible, as limb may be at great risk if not managed in a timely and effective manner [18].

      • Color: An ischemic foot due to PAD may appear pink and relatively warm due to arteriovenous shunting. Delayed discoloration or venous refilling greater than 5 seconds on dependency may indicate poor arterial perfusion.[8][79]
      • Skin temperature: Focal or global decrease in skin temperature compared to the other foot may be predictive of either vascular disease or ulceration [64].
      • Foot pulses: Palpate and determine whether the posterior tibial (PT) and dorsalis pedis (DP) pulses are “present” or “absent”.[64] The DP pulse is reported to be absent in 8.1% of healthy individuals, and the PT pulse is absent in 2.0%. Note that a palpable pulse does not rule out PAD, especially in people with diabetes suffering from medial calcinosis (abnormal deposition of calcium of the vessel wall). [12][80] However, the absence of both pedal pulses, when assessed by an experienced clinician, strongly suggests presence of PAD [8], and the presence of clearly palpable PT or DP pulses often but not always exclude significant PAD.[12][80]
      • Other lower extremity findings that can be suggestive of PAD: Trophic changes such as thin, shiny skin, hairless toes/legs, bluish skin color, mottling, femoral/iliac bruits.

      Sensation

      Assessment of Peripheral Neuropathy
      • Loss of protective sensation (LOPS): Any of the 6 tests below can be used [72], although ideally any of the two tests should be used regularly - the Ipswich touch test or 10g (5.07) Semmes-Weinstein monofilament, and one other test of the remaining four.[64] One or more abnormal tests suggest LOPS, while at least two normal tests (and no abnormal test) rules out LOPS. Commonly accepted tests for LOPS assessment are:
        • Ipswich touch test: The test involves lightly and briefly (1-2 s) touching the tips of the first, third and fifth toes of both feet with the index finger. Reduced foot sensation was defined as = 2 insensate areas [81]
        • 10 g (5.07) Semmes Weinstein monofilament exam 
        • 128 Hz tuning fork
        • Pinprick sensation
        • Ankle reflexes
        • Vibration perception threshold testing
      • Motor neuropathy: presents as loss of ankle (Achilles tendon) reflexes, which is associated with deformity, wasting of intrinsic muscles, and muscle imbalance [12].
      • Autonomic neuropathy: typically presents as anhidrosis with dry skin and fissures [12]
      •  Medicare Quality Payment Program, Quality Measure: "Diabetes Mellitus: Diabetic Food and Ankle Care, Peripheral Neuropathy - Neurological Evaluation"

      Gait

      • Abnormal gait can be indicative of neuropathy or early neuropathic arthropathy (Charcot arthropathy). Check:
        • Symmetry and balance
        • Turning: quick / slow / staggered
        • Abnormalities: broad based gait / foot drop / antalgia

      Ulcer Exam

      • Ulcer characteristics: Assess anatomic location, shape, size, depth, wound tissue, wound edges, periwound appearance, character and quantity of exudate [13]. 
        • Wound bed should be checked for exposed tendon or bone. A sterile, blunt probe can be used to assess presence of sinus tract or communication with deeper structures.[8][82]
        • Exudate: Chronic DFU may have higher exudate levels due to altered inflammatory response, vasodilation, and increase in vascular permeability. Increased exudate can also indicate infection.
      • Table 4 summarizes common characteristics of neuropathic (Figure 8), ischemic (Figure 9) and neuroischemic ulcers (Figure 10) in DFU [8][10][9] [83][84][85].

      Table 4. Typical characteristics of DFU according to etiology (adapted from Chadwick) [8][10][9][83][84][85]

      DFU type

      Neuropathic

      (no signs of macrovascular ischemia)

      Ischemic

      (signs of macrovascular ischemia but no signs of neuropathy)

      Neuroischemic

      (with signs of ischemia and neuropathy)

      Figures

      Figure 8. Neuropathic ulcer in the heel of a 68-year old patient with diabetes [86]


      Figure 9. Ischemic diabetic foot ulcer [87]

      Figure 10. Neuroischemic ulcer [88]

      Prevalence [10]

      35%

      15%

      50%

      Typical preulcerative signs

      Callus: if a layer of whitish, macerated, moist tissue is found under the surface of the callus, it indicates that the foot is close to ulceration, and urgent removal of the callus is necessary

      Superficial blister, usually secondary to friction. May develop into a shallow ulcer with a base of pale granulation tissue or yellowish, closely adherent slough

      Red mark on the skin, often precipitated by tight shoes or a slip-on shoe, leading to frictional forces on the vulnerable margins of the foot

      Anatomic location

      Neuropathic ulcers usually occur on areas that bear weight and/or are subject to abnormal pressure/shear. Common areas are the plantar aspect of the foot under the metatarsal heads or on the plantar aspects of the toes [8][82][83], heel and over the dorsum of claw or hammer toes [8][82][83].

      Often at lateral fifth metatarsal head regions or the medial first metatarsal head regions [40]

      Common areas include margins of the foot and toes especially on the medial surface of the first metatarsophalangeal joint and over the lateral aspect of the fifth metatarsophalangeal joint. They also develop on the tips of the toes and beneath any toenails if these become overly thick [8][82][83].

      Sensation

      Sensory loss

      Painful

      Degree of sensory loss

      Foot temperature

      Warm

      Cool

      Cool

      Foot pulses

      Present

      Weak/absent

      Weak/absent

      Callus

      Present, often thick

      Callus infrequent

      Minimal callus

      Shape

      Surrounding callus, even round margins

      Punched out margins, black eschar

      Necrosis and callus

      Wound bed

      Pink and granulating, surrounded by callus. Necrotic base uncommon, low-to-moderate drainage

      Pale and sloughy with poor granulation

      Poor granulation

      Pain intensity

      Mild

      Severe

      Dull pain

      Type of pain

      Neuropathic (sharp, stabbing or burning) pain may be present

      Nociceptive (gnawing, aching, tender, or throbbing), claudication (pain upon exercise), dull or persistent sharp pain

      Combination of both types

      Diabetic Foot Infection

      • Soft tissue infection: Primary clinical signs of infection can be blunted in DFU due to diminished leukocyte function, PAD, and neuropathy.[9][89] About 50% of patients with infected DFU lack common indicators of a systemic inflammatory response (e.g. diminished or lack of elevation of ESR or CRP), leading to delayed diagnosis.[9][90]
        • Primary signs of infection: Clinical diagnosis of infection is based on the presence of at least two local findings of inflammation: marked redness (erythema or rubor), warmth (calor), pain or tenderness (dolor), induration (tumor), or purulent exudate.[70]
          • Warmth (calor) can be assessed with an infrared dermal thermometer. A >2 °C increase of an affected site as compared with an unaffected site is considered significant for inflammation.[13]
        • Secondary signs of infection: Secondary signs are helpful in identifying infection when local and systemic signs are dampened. Those include friable or discolored granulation tissue, tissue necrosis, non-purulent exudate, malodor, and failure of a properly treated wound to progress through phases of healing.[70]
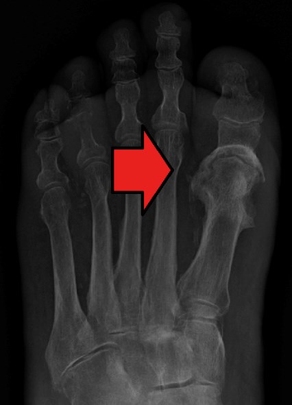
      • Osteomyelitis: Wounds that are chronic, large, deep, or overlie a bony prominence are at high risk for underlying bone infection, the presence of a 'sausage toe' (Figure 11)  or visible bone is highly indicative of osteomyelitis.[8]
        • International consensus [91] recommends performing a probe-to-bone test for infected wounds (Figure 12).[92]  In a patient at low risk for osteomyelitis (e.g., outpatient), a negative test largely rules out the diagnosis, while in a high-risk patient (i.e., inpatient), a positive test is largely diagnostic.[70][93]
        • Additionally, ESR over 70 mm/h is clinically suggestive of osteomyelitis.[94] 

      Figure 11. Sausage toe suggestive of osteomyelitis [95]

      Figure 12. Probe-to-bone in a DFU            

      Diagnosis

      The diagnosis of DFU involves identification of type of ulcer (neuropathic, ischemic or neuroischemic) through a thorough clinical assessment (See “History” and “Physical exam”) and additional exams listed below, if indicated:

      Peripheral Neuropathy in DFU patients

      • Sensory examination: a sensory examination using a combination of tests including the Semmes–Weinstein monofilament test, testing the sensation of vibrations using the tuning fork method, and the Achilles tendon reflex test are useful for the clinical diagnosis of peripheral neuropathy due to diabetes.[96] See section 'Assessment of Peripheral Neuropathy' above. For Quick Reference Guides, refer to 'Clinician Guide for the Diabetic Foot Exam' and the '60-Second Screen For The Diabetic Foot' in topic "Diabetic Foot Ulcer - Prevention".
      • Blood tests for people with diabetes and peripheral neuropathy: Peripheral neuropathy can be caused by several systemic diseases, medications, infections, etc. Besides diabetes, common causes include hypothyroidism and nutritional deficiencies. Initial evaluation should include [59][13]:
        • Blood glucose levels: HbA1c, fasting glucose, 2 hour postprandial glucose to assess diabetes status [59][13]. The American Diabetes Association states that a reasonable HbA1c  goal for many nonpregnant adults is <7% (53 mmol/mol) [97]
        • Complete blood count: WBC to assess presence of leukocytosis and left shift to determine acuity of infection.
        • Comprehensive metabolic profile: glucose, calcium, albumin, total protein, sodium, potassium, CO2, Chloride, blood urea nitrogen (BUN), creatinine, ALP, ALT, AST, bilirubin
          • BUN, creatinine: End-stage renal disease is another cause of peripheral neuropathy [59][13]
        • Erythrocyte sedimentation rate (ESR): for patients without diabetes or known risks. High levels may be indicative of vasculitis [98] and is one of the cost-effective blood markers to help identify occult causes of initially idiopathic small fiber neuropathy (iiSFN) [99]. As referenced above, ESR over 70 mm/h is clinically suggestive of osteomyelitis.
        • Thyroid stimulating hormone (TSH): can help diagnose hypothyroidism and is another cost-effective blood test that can help identify causes of iiSFN [99]
        • Vitamin B12: its deficiency can cause peripheral neuropathy intermixed with upper motor neuron signs [59]
      • Other blood tests if indicated by clinical suspicion: HIV antibodies (HIV), hepatic panel (liver disorders), Antinuclear antibodies, P-ANCA, C-ANCA (vasculitis) [59]

      Peripheral Artery Disease (PAD) in patients with DFU

      The vascular exam findings below indicate high risk for limb ischemia in patients with DFU. If one or more findings are present, patients should be considered for urgent vascular imaging and vascular intervention [12][91].

      • Non-palpable pulses
      • ABI <0.5
      • Continuous doppler wave ultrasound with monophasic flow
      • Toe pressure < 30 mmHg
      • TcPO2 < 25 mmHg
      • Regardless of exam results, if ulcer does not improve within 6 weeks despite optimal management.
      • People with diabetes with a DFU, signs or symptoms of vascular disease, absent pulses on screening foot examination or older than 50 years old should have a more objective vascular evaluation and be considered for a possible referral to a vascular specialist [64]. Although a properly performed history and physical exam can suggest macrocirculation compromise, their sensitivity is too low to rule out PAD. There is insufficient evidence to support selecting any one of the bedside non-invasive vascular tests below. Clinicians need to be aware of the limitations of each study and choose to use one or more tests based on indications, expertise and availability [91]. Table 5 summarizes findings of vascular exams and likely diagnoses. For details on noninvasive arterial tests, see section 'Noninvasive arterial tests' in topic "Arterial Ulcers - Introduction and Assessment".
      •  Medicare Quality Payment Program, Quality Measure: "Non Invasive Arterial Assessment of patients with lower extremity wounds or ulcers for determination of healing potential"

      Table 5. Bedside non-invasive arterial tests for patients with diabetic foot and likely interpretation. ABI, toe pressure, TBI values are frequently falsely elevated in patients with diabetes. 

      Interpretation

      ABI (no diabetes)  [11]

      ABI (with diabetes)*  [91]

      AP (mmHg)  [11]

      TcPO2 or TCOM (mmHg) [72] 

      TP (mmHg)[11]

      Doppler waveform  [91][100][101]

      TBI (diabetes) [91][100][101]

      SPP (mmHg) [102][91]

      Non-compressible arteries >1.3  >1.3





      No relevant ischemia 0.8-1.3 0.9-1.3  >100 >40 >=60

      triphasic or

      biphasic **

      >=0.70 >40
      Mild/ Moderate ischemia 0.4-0.79  0.5 -0.89  50-100 30-40 30-59

      biphasic or

      biphasic/monophasic

      0.25-0.69 30-40
      Severe ischemia <0.4 <0.5 <50 <40 <30 monophasic <0.25 <30

      ABI: ankle brachial pressure, AP: ankle systolic pressure, TP: toe systolic pressure, TcPO2 or TCOM: transcutaneous oxygen pressure, TBI: toe brachial index, SPP: skin perfusion pressure

      * Patients with diabetes should have TP measurements.[11][72] If arterial calcification precludes reliable ABI or TP measurements, or if ABI is non-compressible (>1.3), ischemia should be documented by TcPO2, SPP, or PVR [11].

      ** Biphasic waveform may be normal in older individuals or when there is no clear transition from triphasic signal along the vascular tree [103].

      • Ankle brachial pressure index (ABI)add how to perform ABI later
        • In asymptomatic patients with diabetes and no assessed diabetic peripheral neuropathy:
          • ABI <0.9 indicates PAD [72][91]
          • ABI between 0.9 and 1.3 is considered normal [91]
          • ABI > 1.3 suggests non-compressible arteries and does not rule out PAD [72][91]
          • Elderly patients or patients with ABI >1.3 should be further assessed with continuous wave Doppler ultrasound or pulse volume recording (PVR), skin perfusion pressure (SPP) or transcutaneous oxygen (TcPO2) [64][72][91]
        • In patients with diabetes and diabetic peripheral neuropathy and/or DFU
          • Medial arterial calcification and non-compressive vessels may result in falsely elevated ABI in patients with diabetic neuropathy [12][64][40]. Thus, regardless of ABI values, to rule out PAD these patients should undergo TcPO2, continuous wave Doppler examination or TP/TBI.[12][91][11]
        • All patients with DFU and ABI <0.5 should be considered for urgent vascular imaging and revascularization [91].
      • Continuous wave Doppler ultrasound and pulse volume recording (PVR) [104]: 
        • Triphasic pedal Doppler arterial waveform with a handheld Doppler appears to provide stronger evidence for the absence of PAD [91]
        • Monophasic flow indicates severe PAD and represents a significant risk for delayed healing or a non-healable wound. Patients should be considered for urgent vascular imaging and revascularization [12].
      • Toe brachial index (TBI) and toe pressure (TP):
        • TBI >=0.70 indicates low likelihood of PAD. However, toe pressures may be falsely elevated by the same factors that affect ABI (including digital calcification) [91]. Also, it may not be possible to measure toe pressure when lesions on the great toe and/or midfoot are present [12].
        • If toe pressure < 30 mmHg in a DFU patient, the patient should be considered for urgent vascular imaging and revascularization [12][91].
      • Transcutaneous oxygen pressure (TcPO2):
        • DFU patients with rest pain should have their foot TcPO2 measured to rule out critical limb ischemia [12].
        • TcpO2 > 40 mmHg suggests adequate arterial flow [72]
        • If TcPO2 < 25 mmHg in a DFU patient, patient should be considered for urgent vascular imaging and revascularization [91]
      • Color duplex ultrasound:
        • Indicated when relevant PAD is suspected and/or simple examination is not possible. It confirms an ischemic etiology for the leg wound and aids in the morphologic diagnosis of occlusions and planning of interventions [12][72].

      Bedside vascular exam findings can help predict the healing potential of a DFU or risk for amputation [91]

      • Any of the following findings increases the pre-test probability of healing by at least 25% each:
        • Skin perfusion pressure = 40 mmHg
        • Toe pressure = 30 mmHg
        • Transcutaneous oxygen pressure (TcPO2) = 25 mmHg
      • Any of the following findings increases the pre-test probability of amputation by at least 25% each. If findings are present in both tests probability is around 40%:
        • Ankle pressure < 50 mmHg
        • ABI < 0.5

      Diabetic Foot Infection

      Urgent surgical intervention is required for deep abscesses, compartment syndromes, and all necrotizing soft tissue infections.


      Soft tissue infection:
      • Soft tissue infection should be diagnosed clinically, based on the presence of local or systemic signs or symptoms of inflammation.[91][96][105]
      • A mild diabetic foot infection corresponds to Grade 2 of the Infectious Diseases Society of America (IDSA) classification of diabetic foot infection and will meet the clinical criteria below. See entire classification in “Diabetic Foot Ulcers - Classification Systems", Section 'Infectious Diseases Society of America (IDSA) Classification'.
        • IDSA Grade 2: Local infection (skin and/or subcutaneous tissue), with at least two of these items:
          • Local swelling or induration
          • Erythema > 0.5 cm and ≤2 cm around the ulcer. Excluded other causes of an inflammatory response of the skin (eg, trauma, gout, acute Charcot neuro-osteoarthropathy, fracture, thrombosis, venous stasis) around the wound
          • Local tenderness or pain
          • Local warmth
          • Purulent discharge
        • Of note, primary clinical signs of infection can be blunted in DFU due to diminished leukocyte function, PAD, and neuropathy.[9] The NERDS mnemonics can help identify signs of superficial soft tissue infection.[15][106] If any 3 NERDS are present, superficial soft tissue infection is likely and topical antimicrobial treatment is justified.[15][106] NERDS stand for:
          • Nonhealing ulcer
          • increased Exudate
          • Red-friable tissue
          • Debris
          • Smell 
      • Wound cultures: the Infectious Diseases Society of America (IDSA) and International Working Group on the Diabetic Foot (IWGDF) recommend [91]:
      • For clinically uninfected wounds: do not collect a specimen for culture. Cutaneous wounds harbour microorganisms and as such, their mere presence (even if they are opportunistic species) cannot be taken as evidence of infection.
      • For clinically infected wounds or if epithelialization from the margin is not progressing within 2 weeks from debridement and initiation of offloading: send specimens for culture prior to starting empiric antibiotic therapy to determine causative organism and their antibiotic sensitivities.
        • Cultures may be unnecessary for a mild infection in a patient who has not recently received antibiotic therapy. [107]
        • Collection methods: A properly collected specimen is obtained by biopsy or curettage of deep tissue after the wound has been cleansed and debrided. Swab specimens, especially of inadequately debrided wounds, should be avoided as they provide less accurate results [107]. The only currently accepted standard of practice with reference to swab (non-tissue biopsy) cultures is the Levine technique.[108] See topic "How to Collect a Wound Swab (Levine Technique) for Culture".
        • Types of culture: send specimens in a sterile container or appropriate transport media, for aerobic and anaerobic culture and Gram stain, if possible. Generally culture results are not available for 2-3 days, but the Gram-stained smear provides immediate results and can aid in initial antibiotic selection. Even in polymicrobial wounds, the Gram stain can be useful by demonstrating the prominent organism. Also, it can suggest if infection is present when it demonstrates presence of polymorphonuclear leukocytes (i.e, purulent secretions). Cultures using molecular microbiological techniques, such as polymerase chain reaction (PCR), can detect more organisms and provide the results considerably faster, resulting in more targeted antibiotic therapy and shorter healing time. See topic "Wound Culture - Swabs, Biopsies, Needle Aspiration".

      Levine swab culture technique [109]

      • Cleanse the wound with normal saline (do not use antiseptics), pat dry with sterile gauze
      • If excessive debris and/or necrotic tissue are present, may remove them through conservative sharp debridement (if knowledge, skills and license permit)
      • If conservative debridement is performed, cleanse wound bed post debridement with saline and pat dry with sterile gauze
      • Identify the healthiest, cleanest looking area of granulation tissue. Do not choose areas with exudate, pus or devitalized tissue
      • On the identified area, rotate the end of the sterile applicator (swab) over a 1cm2 area. For at least 5 seconds, apply enough pressure  to express fluid from within the wound tissue
      • Insert swab into sterile tube with transport medium and send to lab
        Osteomyelitis
        • Accurate diagnosis of osteomyelitis can be difficult in DFU, as the clinical presentation varies and signs may not be obvious. See “Physical Examination - Diabetic Foot Infection”. Definitive diagnosis is achieved with a bone biopsy. However, because bone biopsy results are not always easily obtained, clinicians must often use surrogate diagnostic markers. Probable diagnosis of osteomyelitis is reasonable if there are positive results on a combination of diagnostic tests, such as probe-to-bone, serum inflammatory markers such as ESR and CRP, plain X-ray, MRI, or radionuclide scanning (e.g. WBC tagged study, nuclear medicine 3 phase bone scan). [70][72][96]
        • Bone biopsy for culture and histology: for cases in which there is uncertainty or it is crucial to determine the causative pathogens’ antibiotic susceptibility (e.g., failure to respond to empirical treatment). [70][72]
          • A definitive diagnosis of osteomyelitis requires both the presence of histological findings consistent with bone infection (acute or chronic inflammatory cells, necrosis) and the isolation of bacteria from aseptically obtained bone sample [70][72]. In case of limited amount of bone material, clinicians may opt to consider culture than histology as both seem to perform equally in terms of diagnosis accuracy.[110] 
          • Obtaining and processing the specimen may not always be easy, so a bone biopsy is only required for diagnosis when there is uncertainty or it is crucial to determine the causative pathogens’ antibiotic susceptibility.[70][72] If however, the patient needs to undergo bone debridement to treat osteomyelitis, clinicians should take the opportunity to send a sample for culture and histology. [70][72] 
        • Probe-to-bone: all open infected DFU need to be inspected and gently probed with a sterile blunt metal probe (Figure 12). If the metal strikes bone (detected by its hard, gritty feel) in a patient at high risk for osteomyelitis, there is a high likelihood that the patient has osteomyelitis. Conversely, if no bone is detected (negative probe-to-bone test) in a patient at low risk, this essentially rules out osteomyelitis [70][72]. In practice, for all open infected DFU with positive probe-to-bone test, clinicians might opt for further imaging.
        • Blood tests: for all cases of suspected diabetic foot infection:
          • Serum inflammatory markers (e.g. erythrocyte sedimentation rate, C-reactive protein, procalcitonin or blood leukocyte count): markedly elevated values may be suggestive of bone infection.[72] Serum inflammatory markers are absent in up to 50% of patients with osteomyelitis. When present however, these markers have been shown to predict poorer clinical outcomes.
        • Serial plain X-rays of the foot:  all non-superficial diabetic foot infections should be assessed with serial plain X-rays with intervals of 2 weeks or more between X-rays to identify bone abnormalities (e.g., deformity, destruction) as well as soft tissue gas and radiopaque foreign bodies [70][72].
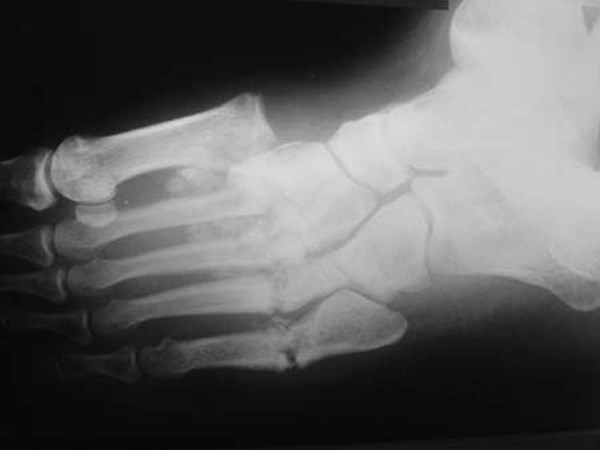
          • Radiographs tangential to the bone surface at the site of suspected bone infection are ideal to visualize a potential focus of osteomyelitis, in addition to the standard radiographs of the region. Single plain X-rays have low sensitivity and specificity for diagnosis osteomyelitis but serial plain X-rays obtained with an interval of at least 2 weeks are more likely to predict the presence of osteomyelitis [70]. The classical radiologic sign of osteomyelitis is focal loss of bone density, almost always adjacent to the ulcer bed (Figure 13) [40]. Characteristic features of osteomyelitis on plain X-rays of the foot are summarized in Table 6.
        • Magnetic resonance imaging (MRI): if the probe-to-bone test and serial X-rays are inconclusive and suspicion remains high, or in the context of surgical preparation, an MRI can be ordered.
          • MRI provides the greatest accuracy (ie, combined sensitivity and specificity) for the detection of bone infection in the diabetic foot [107][96]. MRI for diabetic foot osteomyelitis has high sensitivity (90%) and specificity (85%) [91]. However, advanced imaging techniques can be expensive, often limited in availability, and difficult to interpret by a non-expert [70].
          • The key features suggestive of osteomyelitis on MRI are low focal signal intensity on T1-weighted images, high focal signal on T2-weighted images and high bone marrow signal in short tau inversion recovery (STIR) sequences [107]. 
        • Other imaging exams: when MRI is not available or contraindicated, consider a white blood cell-labelled radionuclide scan, or possibly single-photon emission computed tomography (SPECT/CT) or fluorine-fluorodeoxyglucose positron emission tomography (PET) scans [70][72].

        Table 6. Typical features of diabetic foot osteomyelitis on plain X-rays [70]

        Figure 13. Osteomyelitis of the first metatarsophalangeal joint [111]

        • Periosteal reaction or elevation
        • Loss of bone cortex with bony erosion
        • Focal loss of cortical trabecular pattern or marrow radiolucency
        • Bone sclerosis, with or without erosion
        • Presence of sequestrum: devitalized bone with radiodense appearance that has become separated from normal bone
        • Presence of involucrum: a layer of new bone growth outside previously existing bone resulting from stripping off of the periosteum and new bone growing from the periosteum
        • Presence of cloacae: opening in the involucrum or cortex through which sequestrae or granulation tissue may discharge
        • Presence of evidence of a sinus tract from the bone to the soft tissue

        Differential Diagnosis

        Uninfected ulcer

        • Traumatic ulcers (Figure 14)add pics of VLU, arterial ulcer
        • Pressure injuries (Figure 15)
        • Vasculopathies (Figure 16)
        • Ulcers derived from idiopathic neuropathy (non diabetic) (See “Peripheral Neuropathy”) (Figure 17)
        • Malignancies: melanoma, nonmelanoma skin cancers and metastatic lesions may present as DFUs in patients with DM. In these cases, skin biopsy  specimens  will  be  diagnostic [12]) (Figure 18)
        • Other (Figure 19)

         

        Figure 14 : Electrical burn exit wound. [112]


        Figure 15: Pressure ulcer on heel [113]



        Figure 16: 
        Thromboangiitis obliterans
        (Buerger's disease).[114]


        Figure 17: Foot ulcer due to congenital motor
        and sensory neuropathy (Charcot-Marie-Tooth disease) [115]


        Figure 18: Melanoma left foot [116]

        Figure 19: Plantar warts and surgical scars. [117]

        Infected ulcer  

        • Other causes of cutaneous inflammatory response: trauma, gout, fracture, acute Charcot neuro-osteoarthropathy (Table 7), thrombosis and venous insufficiency [70] (Figure 20)
        • Inflammatory ulcers (vasculitis/ pyoderma gangrenosum) [12] (Figure 21)


        Figure 20: Traumatic, infected puncture. [118]


        Figure 21: Pyoderma gangrenosum on the left leg. [119]

        Table 7. Differentiating osteomyelitis from Charcot arthropathy

        Osteomyelitis or Charcot arthropathy?
        • Distinguishing osteomyelitis from the less common Charcot arthropathy can be challenging and requires a high level of suspicion, clinical and imaging information [107].
        • A swollen foot with increased temperature especially in the midfoot and no ulcer in a patient with DM and profound neuropathy (but adequate arterial perfusion) is most likely a Charcot foot, but if there is an ulcer present, osteomyelitis is more likely. Occasionally, both conditions coexist [107].
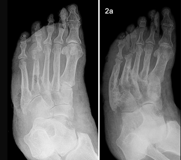
        • Plain X-ray:  Useful to determine location - the most commonly affected joints in Charcot arthropathy are in the midfoot region (ie, the cuneiform/metatarsal area) [12] (Figure 22 and 23).
        • Bone scan: bone scan reveals increased blood flow and bone uptake.
        • MRI: in limited cases, magnetic resonance imaging or white cell scans aid in the differentiation from osteomyelitis [12]. MRI findings suggestive of osteomyelitis are the presence of intra-articular bodies or subchondral cysts and involvement of multiple joints [107].


        Figure 22: Charcot foot. X-rays of the same foot, showing progression of disease over 2 years. Fractures in the cuneiform/metatarsal area [120].


        Figure 23: Osteomyelitis of the first metatarsophalangeal joint [111]

        Diabetic Foot Ulcer and Infection Classification Systems

        Expert committee reports [8][121][122] and clinical guidelines [13][107][123][96] recommend that clinicians use standardized, validated DFU classification systems to describe ulcers to facilitate communication and monitor treatment. 

        Ulcer classification systems may guide treatment, help predict outcome, and are useful for research and audit.[12][8][13] The various classification systems that have been proposed for DFU have pros and cons, and no single system has been universally accepted. [12] (Table 8). Most systems do not encompass all aspects needed for determination of a comprehensive treatment plan, and as such have been regarded as having limited utility in real world clinical decision-making [11]. On the other hand, payors' regulations have played a role in selection and usage of classification systems. For instance, in the United States, the Wagner system is often utilized by hyperbaric wound centers, as Medicare requirements to justify medical necessity and specific quality measures are based on it. In 2014, aiming at developing a system that reflects modern considerations (i.e, demographic shifts over the last 40 years, dramatic rise in incidence of diabetes mellitus and accompanying limb threat), the Society for Vascular Surgery (SVS) introduced an updated system that has been shown to correlate with important outcomes for limb salvage and wound healing [11][14].

        Ultimately, regardless of the classification system, a multimodal approach (clinical assessment, laboratory testing, imaging) to evaluating the patient will determine DFU management [8][21]. Identification of neuropathic, ischemic, neuroischemic, and infected DFU is helpful in treatment planning.

        See most used classification systems in “Diabetic Foot Ulcer and Infection Classification Systems with Pictures and Documentation Templates”  

        Table 8.Classification systems for diabetic foot ulcers and infection and elements assessed in each system Modified from Mills et al, 2014 [11]

        Classification system (below)

        Ischemic rest pain

        Ulcer

        Gangrene

        Ischemia

        Infection

        Wagner

        No

        Yes

        Yes

        No

        Yes

        UT

        No

        Yes

        Yes

        Yes

        Yes

        SINBAD

        No

        Yes

        No

        Yes

        Yes

        IDSA

        No

        No

        No

        No

        Yes

        PEDIS

        No

        Yes

        No

        Yes

        Yes

        SVS WIfi

        Yes

        Yes

        Yes

        Yes

        Yes

        Classification systems that do not stratify severity of infection

        • Wagner: well established, but does not fully address infection and ischemia [124]. Medicare employs the Wagner system to determine whether people with DFU may be candidates for hyperbaric oxygen therapy (HBOT). 
        • University of Texas (UT): one of the classification systems used in wound clinics in the Unites States [12][125][43]. The UT system is based on the Wagner classification system, and provides more granular classification based on the presence of infection and ischemia, and may help predict outcome of the DFU [8].
        • SINBAD: assesses Site, Ischemia, Neuropathy, Bacterial infection and Depth, and helps predict outcomes [126]. Detailed classification can be accessed here

        Classification systems that stratify severity of infection

        • Infectious Diseases Society of America (IDSA): This system is for people with diabetes with suspected foot infections, with or without ulcers [91]. It does not address other elements such as presence of ulcer, ischemic rest pain, local ischemia, or gangrene. The IDSA classification of diabetic foot infection was incorporated into the PEDIS and the WIfI systems, which do include these other elements and are more suited for patients with diabetic foot ulcers.
        • PEDIS: the IWGDF developed a classification system that assesses Perfusion, Extent, Depth, Infection and Sensation (PEDIS) [2] , which is user-friendly and research-oriented [12] [8]. PEDIS incorporates the IDSA infection grading. Detailed classification can be accessed here
        • The Society for Vascular Surgery Lower Extremity Threatened Limb Wound/Ischemia/Foot Infection (WIfI):  This tool helps predict which patients are most likely to require and to benefit from revascularization. This relatively new, but validated risk stratification tool is based on three major factors that impact amputation risk and clinical management for DFU: Wound, Ischemia, and foot Infection (WIfI) [11] [14]. WIfI incorporates the IDSA infection grading. 
          • In the past decades, neuroischemia has become the most common etiology of DFU [127]. However, most DFU classification systems do not incorporate adequate perfusion assessment because ischemia is included only as a dichotomized variable (based on a cutoff ABI of 0.8) with no gradations for severity [11]. To address this need, WIfi was designed to provide a more quantitative assessment of vascular status and its contribution to the DFU and shows promise as a system to assess at risk limbs. 

          Ulcer healability 

          This step involves assessing whether the ulcer can be healed with active conservative management alone (healable) or not (non-healable) or if co-existing medical conditions, drugs or circumstances likely impede wound healing (maintenance). Determination of ulcer healability helps creating an adequate treatment plan.[15][16] After determining ulcer healability, see treatment in topic "Diabetic Foot Ulcer - Treatment". For details on healability, see topic "How to Determine Healability of a Chronic Wound".add link

          Table 2: Determining ulcer healability 

          * ) As determined by comprehensive patient assessment. Maintenance wounds have healing potential but patient or health system barriers compromise healing (**For persons without diabetes, inadequate blood supply is objectively confirmed by ankle-brachial index (ABI) < 0.5, monophasic doppler waveform, skin perfusion pressure < 30mmHg, transcutaneous oxygen < 30mmHg, absolute systolic ankle pressure < 50 mmHg OR toe pressure < 30mmHg. For persons with diabetes, perform any other testing listed above besides ABI as ABI can be falsely elevated 

          Can underlying cause be treated?How is blood supply to the wound?Co-existing medical conditions/drugs...Then wound prognosis is...
          YesAdequateAre not an obstacle for healingHealable
          No (*)AdequateMay or may not prevent healingMaintenance
          NoUsually inadequate (**)May inhibit healingNon-healable

          Modified from Sibbald RG et al. 2011[15].

              • If patient has any of the conditions below, consider a non-healing program.[72] DFU will likely not heal with conservative treatment only:
                • Co-morbidities that impede healing: 
                  • Ulcer is malignant tumor
                  • Major organ failure
                  • Blood supply to the DFU is inadequate as determined by non-invasive vascular arterial tests (e.g., toe pressure < 30 mmHg, TCOM<30 mmHg, monophasic handheld Doppler, etc - see 'Bedside non-invasive arterial tests' above)
              • If patient has any of the conditions that impede wound healing below, consider a maintenance-healing program until element impeding healing is mitigated [72]:
                • Co-morbidities:
                  • Uncontrolled diabetes
                  • Immunosuppression
                  • Obesity: BMI > 40
                  • Inadequate nutrition (abnormal serum protein, unintended weight loss)
                  • Uncontrolled autoimmune diseases (e.g., rheumatoid arthritis, vasculitis, pyoderma gangrenosum)
                  • Cognitive, emotional, psychological dysfunction
                • Drugs and interventions :
                  • Steroids-prolonged use
                  • Chemotherapy/ radiation
                  • Immunosuppressants
                • Lifestyle:
                  • Regular smoking
                  • Impaired mobility
                  • Financial or resource constraints add link to DFU treatment topic

                Documentation

                • The American Medical Association (AMA) recommends that ulcers such as DFU be properly documented for adequate code (ICD-10) assignment. That means that in addition to classifying the ulcer with one of the DFU classification systems, clinicians should clearly describe etiology, anatomical location with laterality and severity of tissue damage in a way that coders can easily match descriptions of existing ICD-10 codes to the medical record.
                • The DFU classification systems do not provide all details needed by coders. For instance, coders need to know the severity of tissue damage as described by the ICD-10. As a result, ulcer depth needs to be documented as: limited to breakdown of skin, has fat layer exposed, has necrosis of muscle or necrosis of bone. Otherwise the severity might be classified as “unspecified” [128]. See documentation templates and pictures for each of the most used classification systems in “Diabetic Foot Ulcer and Infection Classification Systems".

                Other items that need to be adequately documented include:

                • For healing assessment purposes, documentation should include etiology, number and position of ulcers, size, depth, severity, description of wound edge, peri-wound area, wound base quality, amount and type of drainage, and infection, history of debridement [9].
                • Signs of ulcer improvement: It is critical to assess healing progress, as it determines whether a treatment plan should be continued or not. Thus, DFU healing progress should be recorded weekly or sooner if significant change is observed.
                • Documenting signs of DFU improvement to support medical necessity (Medicare):
                  • Reimbursement for wound care services on a continuing basis for a particular wound in a patient requires documentation in the patient's record that the wound is improving in response to the wound care being provided. 
                  • It is not medically reasonable or necessary to continue a given type of wound care if evidence of wound improvement cannot be shown. 
                  • Medicare expects that with appropriate care, wound volume or surface dimension should decrease by at least 10 percent per month or wounds will demonstrate margin advancement of no less than 1 mm/week. 
                  • Medicare expects the wound-care treatment plan to be modified in the event that appropriate healing is not achieved.
                  • Such evidence must be documented with each date of service provided.
                  • Evidence of improvement includes measurable changes (decreases) of some of the following: 
                    • Drainage 
                    • Inflammation
                    • Swelling
                    • Pain
                    • Wound dimensions (diameter, depth) 
                    • Necrotic tissue/slough 
                • Tools that facilitate standardized assessment and documentation should be used whenever possible:
                  • Wound Reference Wound Prep&Dress Tool creates notes to help support medical necessity that can be copied and pasted to electronic medical records
                  • Validated wound assessment tools such as Bates-Jensen Tool [129][130]
                  • Wound imaging: digital photographs of DFU at the first consultation and periodically thereafter to document progress is helpful and ensures consistency of care among healthcare practitioners, facilitates telemedicine in remote areas, and illustrates improvement to the patient.
                  • Wound measurement: methods include manually measuring length and width (the longest length with the greatest width at right angles), manual tracing, digital photography, and software programs that calculate wound dimensions from a photograph of the lesion. Wound tracings that calculate the area via digital software are slightly better than linear measurement [131].
                • Patient reported outcome (PRO) Tools: Validated instruments allow clinicians to obtain feedback on whether a given treatment plan is resulting in the best outcomes possible and is improving patient's quality of life (QOL). Low QOL has been associated with higher rates of hospital admission and mortality in patients with diabetes. PRO assessment will continue to gain importance as health care systems transition from a volume-based reimbursement model to a value-based model.[132] To date, no PRO tool has been shown to be superior to others [132]:
                  • QOL tools validated for DFU patients: the 36-item Short Form (SF-36), EuroQol five-dimension questionnaire (EQ-5D-5L), and Foot and Ankle Ability Measure (FAAM) [132] 
                    •  Medicare Quality Payment Program, Improvement Activity "Promote Use of Patient-Reported Outcome Tools" suggests use of Wound-Quality of Life (QoL) and patient-reported Wound Outcome.[133]
                  • Pain measurement tools used for patients with DFU include:  SF-36, Cardiff Wound Impact Scale (CWIS) [134]
                    •  Medicare Quality Payment Program, Quality Measure: "Pain Assessment and Follow-Up"
                  • Depression and anxiety screening tools: Anxiety and depression have been shown to be highly prevalent among diabetic foot patients (almost 40% of patients). The Generalized Anxiety Disorder Scale (GAD-7) has been used to screen for anxiety and the Patient Health Questionnaire (PHQ-9) has been used to screen for depression.[135]

                CODING

                See all DFU ICD-10 codes in the Appendix - ICD-10 Coding

                • Identify and document first any documented underlying condition (ICD-10-CM documentation)  
                • Specify laterality
                  • Right, left or unspecified
                • Specify ulcer severity:
                  • Limited to breakdown of skin
                  • With fat layer exposed
                  • With necrosis of muscle
                  • With necrosis of bone
                  • Unspecified severity

                APPENDIX

                Appendix - Risk Factors

                Risk factors for development of DFU

                • Previous DFU or amputation: Considered one of the most important predictive factors of DFU among all risk factors [37]. Patients with a previous history of ulceration have an increased risk of DFU [odds ratio (OR) 6.589, 95%, confidence interval (CI) 2.488 to 17.45] [35].
                • Diabetic peripheral neuropathy: Patients with sensory loss show an increase in risk of developing DFU, compared with non-neuropathic diabetic individuals [21][37][35]. The inability to feel a 10-g monofilament is associated with an increased risk of DFU (OR 3.184, 95% CI 2.654 to 3.82).[35]
                • Plantar callus: It has been reported that there is an 11-fold higher risk of developing ulcers in the presence of callus, which causes further increase in local pressure [36]. Repeated normal stress (pressure) and shear stress during walking contribute to callus formation in the plantar region [26][12].
                • Foot deformity: Deformities like claw toes and prominent metatarsal heads are a proven risk factor for ulceration [37].
                • Peripheral artery disease: If one pedal pulse is absent there is an increased risk for DFU (OR 1.968, 95% CI 1.624 to 2.386) [35].
                • Poor glycemic control: Authors of an Indian study found a higher risk of DFU among patients with HbA1c1>7.5 % (OR 8.1, p<0.001) [38].
                • Smoking: Authors of an Indian study found a statistically significant increased risk of DFU among smokers (OR 6, p<0.001) [38].
                • Male gender: The male sex has been associated with a 1.6-fold increased risk of DFU in Western countries [7][39]. A large meta-analysis with data from 16,000 people with diabetes (PODUS) found female sex to be a protective factor [odds ratio (OR) of 0.743, 95% confidence interval (CI) 0.598 to 0.922] [35].
                • Longer duration of diabetes: The risk of ulcers and amputations increases with duration of diabetes.[7][35][38][39]
                • Visual impairment: Patients with loss of protective sensation rely on vision as a secondary protection mechanism. Those with impaired vision are at higher risk of injury.[40]
                • Depression: associated with first episode of DFU.[40]

                Risk factors for lower extremity amputation due to DFU

                • Previous amputation due to DFU: After an initial amputation, the risk of the contralateral extremity amputation ranges between 9-17% in the first year, increasing to 25-68% within 3 to 5 years [12].
                • Peripheral artery disease (PAD): Major amputation and mortality rates in patients with PAD are 8% and 9%, respectively, whereas in patients without PAD, the rates are 2% and 3% respectively (p <0.001) [6]. 
                • Infection and PAD: Coupled with infection, PAD is one of the major factors contributing to subsequent amputation.[21][7][41][42] Patients with infection and PAD can be nearly 90 times more likely to receive a midfoot or more proximal amputation compared with patients in less advanced wound stages (76.5 vs. 3.5%, P < 0.001, OR = 89.6, CI = 25–316) [43].
                • Infection: In one study with 1232 patients (EURODIALE), infection was a predictor of minor amputation (OR 1.56, CI 1.05-2.30) [42].
                • Diabetic peripheral neuropathy with loss of protective sensation: increases the risk of amputation by 1.7 fold; 12 fold if there is deformity (itself a consequence of neuropathy), and 36 fold if there is a history of previous DFU [43] [45].
                • Deeper DFU, probing to bone: One study showed that patients were more than 11 times more likely to receive a midfoot or higher level amputation if their wound probed to bone (18.3 vs. 2.0%, OR 11.1, 95% CI 4.0–30.3) [43]. In the EURODIALE study, larger depth was associated with a 6-fold increase in risk of amputation [7][42].
                • HbA1c: A large meta-analysis found a statistically significant difference in amputation rates among patients with higher HbA1c (8.3 to 12.5% in the group with LEA and from 7.4 to 11.3% in the group without LEA, p=0.008). For every 1% increase in HbA1c, the risk of a lower extremity amputation increased 1.23-fold [46].
                • Hemoglobin < 11g/dL: In a retrospective study (n=654 diabetic patients), this factor was the most significant risk factor for major amputation (odds ratio 5.57, p< 0.0001) [47]
                • Smoking: A meta-analysis indicated that smoking significantly increased the risk of diabetic foot amputation (OR=1.65;  95% CI, 1.09-2.50; P<0.0001) compared with non-smoking. [48]
                • Hypertension, ischemic heart disease, cerebrovascular disease: A meta-analysis identified these variables as predisposing factors for higher major amputation in diabetic patients [49]
                • Male gender: In a meta-analysis of 33 articles, male gender and smoking were identified as significant risk factors. [50]

                ICD-10 Coding

                Diabetic Wounds of the Lower Extremity

                A Diabetes code plus an ulcer/wound code (a code from Group 1 & Group 2) must be used together to satisfy medical necessity.

                Group 1 - Diabetes Codes

                E11.51Type 2 diabetes mellitus with diabetic peripheral angiopathy without gangrene
                E11.52Type 2 diabetes mellitus with diabetic peripheral angiopathy with gangrene
                E13.51Other specified diabetes mellitus with diabetic peripheral angiopathy without gangrene
                E13.52Other specified diabetes mellitus with diabetic peripheral angiopathy with gangrene
                E10.51Type 1 diabetes mellitus with diabetic peripheral angiopathy without gangrene
                E10.52Type 1 diabetes mellitus with diabetic peripheral angiopathy with gangrene
                E11.618Type 2 diabetes mellitus with other diabetic arthropathy
                E11.620Type 2 diabetes mellitus with diabetic dermatitis
                E11.621Type 2 diabetes mellitus with foot ulcer
                E11.622Type 2 diabetes mellitus with other skin ulcer
                E11.628Type 2 diabetes mellitus with other skin complications
                E13.618Other specified diabetes mellitus with other diabetic arthropathy
                E13.620Other specified diabetes mellitus with diabetic dermatitis
                E13.621Other specified diabetes mellitus with foot ulcer
                E13.622Other specified diabetes mellitus with other skin ulcer
                E13.628Other specified diabetes mellitus with other skin complications
                E10.618Type 1 diabetes mellitus with other diabetic arthropathy
                E10.620Type 1 diabetes mellitus with diabetic dermatitis
                E10.621Type 1 diabetes mellitus with foot ulcer
                E10.622Type 1 diabetes mellitus with other skin ulcer
                E10.628Type 1 diabetes mellitus with other skin complications
                E11.69Type 2 diabetes mellitus with other specified complications
                E11.65Type 2 diabetes mellitus with hyperglycemia
                E10.69Type 1 diabetes mellitus with other specified complications
                E10.65Type 1 diabetes mellitus with hyperglycemia

                Group 2 - Wound/ Ulcer Codes

                I70.25Atherosclerosis of native arteries of extremities with ulceration
                I70.334Atherosclerosis of unspecified type of bypass graft(s) of the right leg with ulceration of heel and midfoot
                I70.335Atherosclerosis of unspecified type of bypass graft(s) of the right leg with ulceration of other part of foot
                I70.344Atherosclerosis of unspecified type of bypass graft(s) of the left leg with ulceration of heel and midfoot
                I70.345Atherosclerosis of unspecified type of bypass graft(s) of the left leg with ulceration of other part of foot
                Lower Limb Unspecified
                L97.911Non-pressure chronic ulcer of unspecified part of right lower leg limited to breakdown of skin
                L97.912Non-pressure chronic ulcer of unspecified part of right lower leg with fat layer exposed
                L97.913Non-pressure chronic ulcer of unspecified part of right lower leg with necrosis of muscle
                L97.914Non-pressure chronic ulcer of unspecified part of right lower leg with necrosis of bone
                L97.915Non-pressure chronic ulcer of unspecified part of right lower leg with muscle involvement without evidence necrosis
                L97.916Non-pressure chronic ulcer of unspecified part of right lower leg with bone involvement without evidence necrosis
                L97.918Non-pressure chronic ulcer of unspecified part of right lower leg with other specified severity
                L97.921Non-pressure chronic ulcer of unspecified part of left lower leg limited to breakdown of skin
                L97.922Non-pressure chronic ulcer of unspecified part of left lower leg with fat layer exposed
                L97.923Non-pressure chronic ulcer of unspecified part of left lower leg with necrosis of muscle
                L97.924Non-pressure chronic ulcer of unspecified part of left lower leg with necrosis of bone
                L97.925Non-pressure chronic ulcer of unspecified part of left lower leg with muscle involvement without evidence necrosis
                L97.926
                Non-pressure chronic ulcer of unspecified part of left lower leg with bone involvement without evidence necrosis
                L97.928
                Non-pressure chronic ulcer of unspecified part of left lower leg with other specified severity
                Lower Limb, Thigh
                I70.231Atherosclerosis of native arteries of right leg with ulceration of thigh
                I70.241Atherosclerosis of native arteries of left leg with ulceration of thigh
                I70.331Atherosclerosis of unspecified type of bypass graft(s) of the right leg with ulceration of thigh
                I70.341Atherosclerosis of unspecified type of bypass graft(s) of the left leg with ulceration of thigh
                I70.431Atherosclerosis of autologous vein bypass graft(s) of the right leg with ulceration of the thigh
                I70.441Atherosclerosis of autologous vein bypass graft(s) of the left leg with ulceration of the thigh
                I70.531Atherosclerosis of nonautologous biological bypass graft(s) of the right leg with ulceration of the thigh
                I70.541Atherosclerosis of nonautologous biological bypass graft(s) of the left leg with ulceration of the thigh
                I70.631Atherosclerosis of nonbiological bypass graft(s) of the right leg with ulceration of the thigh
                I70.641Atherosclerosis of nonbiological bypass graft(s) of the left leg with ulceration of the thigh
                I70.731Atherosclerosis of other type of bypass graft(s) of the right leg with ulceration of the thigh
                I70.741Atherosclerosis of other type of bypass graft(s) of the left leg with ulceration of the thigh
                L97.111Non-pressure chronic ulcer of right thigh limited to breakdown of skin
                L97.112Non-pressure chronic ulcer of right thigh with fat layer exposed
                L97.113Non-pressure chronic ulcer of right thigh with necrosis of muscle
                L97.114Non-pressure chronic ulcer of right thigh with necrosis of bone
                L97.115
                Non-pressure chronic ulcer of right thigh with muscle involvement without evidence necrosis
                L97.116
                Non-pressure chronic ulcer of right thigh with bone involvement without evidence of necrosis
                L97.118
                Non-pressure chronic ulcer of right thigh with other specified severity
                L97.121Non-pressure chronic ulcer of left thigh limited to breakdown of skin
                L97.122Non-pressure chronic ulcer of left thigh with fat layer exposed
                L97.123Non-pressure chronic ulcer of left thigh with necrosis of muscle
                L97.124Non-pressure chronic ulcer of left thigh with necrosis of bone
                L97.125
                Non-pressure chronic ulcer of left thigh with muscle involvement without necrosis of muscle
                L97.126
                Non-pressure chronic ulcer of left thigh with bone involvement without evidence of necrosis
                L97.128
                Non-pressure chronic ulcer of left thigh with other specified severity
                Lower Limb, Calf
                I70.232Atherosclerosis of native arteries of right leg with ulceration of calf
                I70.242Atherosclerosis of native arteries of left leg with ulceration of calf
                I70.332Atherosclerosis of unspecified type of bypass graft(s) of the right leg with ulceration of calf
                I70.342Atherosclerosis of unspecified type of bypass graft(s) of the left leg with ulceration of calf
                I70.432Atherosclerosis of autologous vein bypass graft(s) of the right leg with ulceration of the calf
                I70.442Atherosclerosis of autologous vein bypass graft(s) of the left leg with ulceration of the calf
                I70.532Atherosclerosis of nonautologous biological bypass graft(s) of the right leg with ulceration of the calf
                I70.542Atherosclerosis of nonautologous biological bypass graft(s) of the left leg with ulceration of the calf
                I70.632Atherosclerosis of nonbiological bypass graft(s) of the right leg with ulceration of the calf
                I70.642Atherosclerosis of nonbiological bypass graft(s) of the left leg with ulceration of the calf
                I70.732Atherosclerosis of other type of bypass graft(s) of the right leg with ulceration of the calf
                I70.742Atherosclerosis of other type of bypass graft(s) of the left leg with ulceration of the calf
                L97.211Non-pressure chronic ulcer of right calf limited to breakdown of skin
                L97.212Non-pressure chronic ulcer of right calf with fat layer exposed
                L97.213Non-pressure chronic ulcer of right calf with necrosis of muscle
                L97.214Non-pressure chronic ulcer of right calf with necrosis of bone
                L97.215
                Non-pressure chronic ulcer of right calf with muscle involvement without evidence of necrosis 
                L97.216
                Non-pressure chronic ulcer of right calf with bone involvement without evidence of necrosis 
                L97.218
                Non-pressure chronic ulcer of right calf with other specified severity
                L97.221Non-pressure chronic ulcer of left calf limited to breakdown of skin
                L97.222Non-pressure chronic ulcer of left calf with fat layer exposed
                L97.223Non-pressure chronic ulcer of left calf with necrosis of muscle
                L97.224Non-pressure chronic ulcer of left calf with necrosis of bone
                L97.225
                Non-pressure chronic ulcer of left calf with muscle involvement without evidence of necrosis 
                L97.226
                Non-pressure chronic ulcer of left calf with bone involvement without evidence of necrosis 
                L97.228
                Non-pressure chronic ulcer of left calf with other specified severity
                Lower Limb, Ankle
                I70.233Atherosclerosis of native arteries of right leg with ulceration of ankle
                I70.243Atherosclerosis of native arteries of left leg with ulceration of ankle
                I70.333Atherosclerosis of unspecified type of bypass graft(s) of the right leg with ulceration of ankle
                I70.343Atherosclerosis of unspecified type of bypass graft(s) of the left leg with ulceration of ankle
                I70.433Atherosclerosis of autologous vein bypass graft(s) of the right leg with ulceration of the ankle
                I70.443Atherosclerosis of autologous vein bypass graft(s) of the left leg with ulceration of the ankle
                I70.533Atherosclerosis of nonautologous biological bypass graft(s) of the right leg with ulceration of the ankle
                I70.543Atherosclerosis of nonautologous biological bypass graft(s) of the left leg with ulceration of the ankle
                I70.633Atherosclerosis of nonbiological bypass graft(s) of the right leg with ulceration of the ankle
                I70.643Atherosclerosis of nonbiological bypass graft(s) of the left leg with ulceration of the ankle
                I70.733Atherosclerosis of other type of bypass graft(s) of the right leg with ulceration of the ankle
                I70.743Atherosclerosis of other type of bypass graft(s) of the left leg with ulceration of the ankle
                L97.311Non-pressure chronic ulcer of right ankle limited to breakdown of skin
                L97.312Non-pressure chronic ulcer of right ankle with fat layer exposed
                L97.313Non-pressure chronic ulcer of right ankle with necrosis of muscle
                L97.314Non-pressure chronic ulcer of right ankle with necrosis of bone
                L97.315
                Non-pressure chronic ulcer of right ankle with muscle involvement without evidence of necrosis 
                L97.316
                Non-pressure chronic ulcer of right ankle with bone involvement without evidence of necrosis 
                L97.318
                Non-pressure chronic ulcer of right ankle with other specified severity
                L97.321Non-pressure chronic ulcer of left ankle limited to breakdown of skin
                L97.322Non-pressure chronic ulcer of left ankle with fat layer exposed
                L97.323Non-pressure chronic ulcer of left ankle with necrosis of muscle
                L97.324Non-pressure chronic ulcer of left ankle with necrosis of bone
                L97.325
                Non-pressure chronic ulcer of left ankle with muscle involvement without evidence of necrosis 
                L97.326
                Non-pressure chronic ulcer of left ankle with bone involvement without evidence of necrosis 
                L97.328
                Non-pressure chronic ulcer of left ankle with other specified severity
                Lower Limb, heel and Midfoot
                I70.234Atherosclerosis of native arteries of right leg with ulceration of heel and midfoot
                I70.244Atherosclerosis of native arteries of left leg with ulceration of heel and midfoot
                I70.434Atherosclerosis of autologous vein bypass graft(s) of the right leg with ulceration of heel and midfoot
                I70.444Atherosclerosis of autologous vein bypass graft(s) of the left leg with ulceration of heel and midfoot
                I70.534Atherosclerosis of nonautologous biological bypass graft(s) of the right leg with ulceration of heel and midfoot
                I70.544Atherosclerosis of nonautologous biological bypass graft(s) of the left leg with ulceration of the heel and midfoot
                I70.634Atherosclerosis of nonbiological bypass graft(s) of the right leg with ulceration of heel and midfoot
                I70.644Atherosclerosis of nonbiological bypass graft(s) of the left leg with ulceration of heel and midfoot
                I70.734Atherosclerosis of other type of bypass graft(s) of the right leg with ulceration of heel and midfoot
                I70.744Atherosclerosis of other type of bypass graft(s) of the left leg with ulceration of heel and midfoot
                L97.411Non-pressure chronic ulcer of right heel and midfoot limited to breakdown of skin
                L97.412Non-pressure chronic ulcer of right heel and midfoot with fat layer exposed
                L97.413Non-pressure chronic ulcer of right heel and midfoot with necrosis of muscle
                L97.414Non-pressure chronic ulcer of right heel and midfoot with necrosis of bone
                L97.415
                Non-pressure chronic ulcer of right heel and midfoot with muscle involvement without evidence of necrosis 
                L97.416
                Non-pressure chronic ulcer of right heel and midfoot with bone involvement without evidence of necrosis 
                L97.418
                Non-pressure chronic ulcer of right heel and midfoot  with other specified severity
                L97.421Non-pressure chronic ulcer of left heel and midfoot limited to breakdown of skin
                L97.422Non-pressure chronic ulcer of left heel and midfoot with fat layer exposed
                L97.423Non-pressure chronic ulcer of left heel and midfoot with necrosis of muscle
                L97.424Non-pressure chronic ulcer of left heel and midfoot with necrosis of bone
                L97.425
                Non-pressure chronic ulcer of left heel and midfoot with muscle involvement without evidence of necrosis 
                L97.426
                Non-pressure chronic ulcer of left heel and midfoot with bone involvement without evidence of necrosis 
                L97.428
                Non-pressure chronic ulcer of left heel and midfoot with other specified severity
                Other Part of foot, toe(s)
                I70.235Atherosclerosis of native arteries of right leg with ulceration of other part of foot
                I70.245Atherosclerosis of native arteries of left leg with ulceration of other part of foot
                I70.435Atherosclerosis of autologous vein bypass graft(s) of the right leg with ulceration of other part of foot
                I70.445Atherosclerosis of autologous vein bypass graft(s) of the left leg with ulceration of other part of foot
                I70.535Atherosclerosis of nonautologous biological bypass graft(s) of the right leg with ulceration of other part of foot
                I70.545Atherosclerosis of nonautologous biological bypass graft(s) of the left leg with ulceration of the other part of foot
                I70.635Atherosclerosis of nonbiological bypass graft(s) of the right leg with ulceration of other part of foot
                I70.645Atherosclerosis of nonbiological bypass graft(s) of the left leg with ulceration of other part of foot
                I70.735Atherosclerosis of other type of bypass graft(s) of the right leg with ulceration of other part of foot
                I70.745Atherosclerosis of other type of bypass graft(s) of the left leg with ulceration of other part of foot
                L97.511Non-pressure chronic ulcer of other part of right foot limited to breakdown of skin
                L97.512Non-pressure chronic ulcer of other part of right foot with fat layer exposed
                L97.513Non-pressure chronic ulcer of other part of right foot with necrosis of muscle
                L97.514Non-pressure chronic ulcer of other part of right foot with necrosis of bone
                L97.515
                Non-pressure chronic ulcer of other part of right foot with muscle involvement without evidence of necrosis 
                L97.516
                Non-pressure chronic ulcer of other part of right foot with bone involvement without evidence of necrosis 
                L97.518
                Non-pressure chronic ulcer of other part of right foot with other specified severity
                L97.521Non-pressure chronic ulcer of other part of left foot  limited to breakdown of skin
                L97.522Non-pressure chronic ulcer of other part of left foot with fat layer exposed
                L97.523Non-pressure chronic ulcer of other part of left foot with necrosis of muscle
                L97.524Non-pressure chronic ulcer of other part of left foot with necrosis of bone
                L97.525
                Non-pressure chronic ulcer of other part of left foot with muscle involvement without evidence of necrosis 
                L97.526
                Non-pressure chronic ulcer of other part of left foot with bone involvement without evidence of necrosis 
                L97.528
                Non-pressure chronic ulcer of other part of left foot with other specified severity
                Other Part Lower Limb
                I70.238Atherosclerosis of native arteries of right leg with ulceration of other part of lower right leg
                I70.248Atherosclerosis of native arteries of left leg with ulceration of other part of lower left leg
                I70.338Atherosclerosis of unspecified type of bypass graft(s) of the right leg with ulceration of other part of lower leg
                I70.348Atherosclerosis of other type of bypass graft(s) of the left leg with ulceration of other part of lower leg
                I70.438Atherosclerosis of autologous vein bypass graft(s) of the right leg with ulceration of other part of lower leg
                I70.448Atherosclerosis of autologous vein bypass graft(s) of the left leg with ulceration of other part of lower leg
                I70.538Atherosclerosis of nonbiological bypass graft(s) of the right leg with ulceration of other part of lower leg
                I70.548Atherosclerosis of nonautologous biological bypass graft(s) of the left leg with ulceration of other part of lower leg
                I70.638Atherosclerosis of nonautologous biological bypass graft(s) of the right leg with ulceration of other part of lower leg
                I70.648Atherosclerosis of nonbiological bypass graft(s) of the left leg with ulceration of other part of lower leg
                I70.738Atherosclerosis of other type of bypass graft(s) of the right leg with ulceration of other part of lower leg
                I70.748Atherosclerosis of other type of bypass graft(s) of the left leg with ulceration of other part of lower leg
                L97.811Non-pressure chronic ulcer of other part of right lower leg limited to breakdown of skin
                L97.812Non-pressure chronic ulcer of other part of right lower leg with fat layer exposed
                L97.813Non-pressure chronic ulcer of other part of right lower leg with necrosis of muscle
                L97.814Non-pressure chronic ulcer of other part of right lower leg with necrosis of bone
                L97.815
                Non-pressure chronic ulcer of other part of right lower leg with muscle involvement without evidence of necrosis 
                L97.816
                Non-pressure chronic ulcer of other part of right lower leg with bone involvement without evidence of necrosis 
                L97.818
                Non-pressure chronic ulcer of other part of right lower leg with other specified severity
                L97.821Non-pressure chronic ulcer of other part of left lower leg  limited to breakdown of skin
                L97.822Non-pressure chronic ulcer of other part of left lower leg with fat layer exposed
                L97.823Non-pressure chronic ulcer of other part of left lower leg with necrosis of muscle
                L97.824Non-pressure chronic ulcer of other part of left lower leg with necrosis of bone
                L97.825
                Non-pressure chronic ulcer of other part of left lower leg with muscle involvement without evidence of necrosis 
                L97.826
                Non-pressure chronic ulcer of other part of left lower leg with bone involvement without evidence of necrosis 
                L97.828
                Non-pressure chronic ulcer of other part of left lower leg with other specified severity

                Official reprint from WoundReference® woundreference.com ©2025 Wound Reference, Inc. All Rights Reserved
                Use of WoundReference is subject to the Subscription and License Agreement. ​
                NOTE: This is a controlled document. This document is not a substitute for proper training, experience, and exercising of professional judgment. While every effort has been made to ensure the accuracy of the contents, neither the authors nor the Wound Reference, Inc. give any guarantee as to the accuracy of the information contained in them nor accept any liability, with respect to loss, damage, injury or expense arising from any such errors or omissions in the contents of the work.

                REFERENCES

                1. Santema, Trientje B; Poyck, Paul P C; Ubbink, Dirk T et al. Skin grafting and tissue replacement for treating foot ulcers in people with diabetes. Cochrane Database of Systematic Reviews. 2016;volume 2():CD011255.
                2. Schaper, N C et al. Diabetic foot ulcer classification system for research purposes: a progress report on criteria for including patients in research studies. Diabetes/Metabolism Research and Reviews. 2004;volume 20 Suppl 1():S90-5.
                3. Levin, M E et al. Prevention and treatment of diabetic foot wounds. Journal of Wound, Ostomy, and Continence Nurs.... 1998;volume 25(3):129-146.
                4. McEwen LN, Ylitalo KR, Munson M, Herman WH, Wrobel JS et al. Foot Complications and Mortality: Results from Translating Research Into Action for Diabetes (TRIAD). Journal of the American Podiatric Medical Association. 2016;volume 106(1):7-14.
                5. Robbins JM, Strauss G, Aron D, Long J, Kuba J, Kaplan Y et al. Mortality rates and diabetic foot ulcers: is it time to communicate mortality risk to patients with diabetic foot ulceration? Journal of the American Podiatric Medical Association. 2008;volume 98(6):489-93.
                6. Prompers, L; Schaper, N; Apelqvist, J; Edmonds, M; Jude, E; Mauricio, D; Uccioli, L; Urbancic, V; Bakker, K; Holstein, P; Jirkovska, A; Piaggesi, A; Ragnarson-Tennvall, G; Reike, H; Spraul, ... et al. Prediction of outcome in individuals with diabetic foot ulcers: focus on the differences between individuals with and without peripheral arterial disease. The EURODIALE Study. Diabetologia. 2008;volume 51(5):747-755.
                7. Boulton, Andrew J M et al. The pathway to foot ulceration in diabetes. The Medical Clinics of North America. 2013;volume 97(5):775-790.
                8. Wounds International. Best Practice Guidelines: Wound Management in Diabetic Foot Ulcers . 2013;.
                9. Alavi, Afsaneh; Sibbald, R Gary; Mayer, Dieter; Goodman, Laurie; Botros, Mariam; Armstrong, David G; Woo, Kevin; Boeni, Thomas; Ayello, Elizabeth A; Kirsner, Robert S et al. Diabetic foot ulcers: Part II. Management. Journal of the American Academy of Dermatolog.... 2014;volume 70(1):21.e1-24; quiz 45.
                10. Armstrong, David G; Cohen, Kelman; Courric, Stephane; Bharara, Manish; Marston, William et al. Diabetic foot ulcers and vascular insufficiency: our population has changed, but our methods have not. Journal of diabetes science and technology. 2011;volume 5(6):1591-1595.
                11. Mills, Joseph L; Conte, Michael S; Armstrong, David G; Pomposelli, Frank B; Schanzer, Andres; Sidawy, Anton N; Andros, George; Society for Vascular Surgery Lower Extremity Guidelines Committ... et al. The Society for Vascular Surgery Lower Extremity Threatened Limb Classification System: risk stratification based on wound, ischemia, and foot infection (WIfI). Journal of Vascular Surgery. 2014;volume 59(1):220-34.e1.
                12. Alavi, Afsaneh; Sibbald, R Gary; Mayer, Dieter; Goodman, Laurie; Botros, Mariam; Armstrong, David G; Woo, Kevin; Boeni, Thomas; Ayello, Elizabeth A; Kirsner, Robert S et al. Diabetic foot ulcers: Part I. Pathophysiology and prevention. Journal of the American Academy of Dermatolog.... 2014;volume 70(1):1.e1-18; quiz 19.
                13. Mount Laurel (NJ). Wound, Ostomy, and Continence Nurses Society (WOCN). Wound, Ostomy, and Continence Nurses Society (WOCN). Guideline for management of wounds in patients with lower-extremity neuropathic disease. Wound, Ostomy, and Continence Nurses Society (WOCN). . 2012;.
                14. Mills, Joseph L et al. The application of the Society for Vascular Surgery Wound, Ischemia, and foot Infection (WIfI) classification to stratify amputation risk. Journal of Vascular Surgery. 2017;volume 65(3):591-593.
                15. Sibbald RG, Goodman L, Woo KY, Krasner DL, Smart H, Tariq G, Ayello EA, Burrell RE, Keast DH, Mayer D, Norton L, Salcido RS et al. Special considerations in wound bed preparation 2011: an update©. Advances in skin & wound care. 2011;volume 24(9):415-36; quiz 437-8.
                16. Sibbald RG, Elliott JA, Ayello EA, Somayaji R et al. Optimizing the Moisture Management Tightrope with Wound Bed Preparation 2015©. Advances in skin & wound care. 2015;volume 28(10):466-76; quiz 477-8.
                17. Khan T, Shin L, Woelfel S, Rowe V, Wilson BL, Armstrong DG et al. Building a scalable diabetic limb preservation program: four steps to success. Diabetic foot & ankle. 2018;volume 9(1):1452513.
                18. Gerhard-Herman, Marie D; Gornik, Heather L; Barrett, Coletta; Barshes, Neal R; Corriere, Matthew A; Drachman, Douglas E; Fleisher, Lee A; Fowkes, Francis Gerry R; Hamburg, Naomi M; Kinlay, S... et al. 2016 AHA/ACC guideline on the management of patients with lower extremity peripheral artery disease: executive summary: A report of the american college of cardiology/american heart association task force on clinical practice guidelines. Vasc Med. 2017;volume 135(12):e686-e725.
                19. Centers for Medicare & Medicaid Services. Hospice Coverage . 2024;.
                20. Game, Fran et al. Choosing life or limb. Improving survival in the multi-complex diabetic foot patient. Diabetes/Metabolism Research and Reviews. 2012;volume 28 Suppl 1():97-100.
                21. Hingorani, Anil; LaMuraglia, Glenn M; Henke, Peter; Meissner, Mark H; Loretz, Lorraine; Zinszer, Kathya M; Driver, Vickie R; Frykberg, Robert; Carman, Teresa L; Marston, William; Mills, Jose... et al. The management of diabetic foot: A clinical practice guideline by the Society for Vascular Surgery in collaboration with the American Podiatric Medical Association and the Society for Vascular Medicine. Journal of Vascular Surgery. 2016;volume 63(2 Suppl):3S-21S.
                22. American Diabetes Association®, et al. Statistics About Diabetes: American Diabetes Association® . 2017;.
                23. Margolis, D J; Kantor, J; Santanna, J; Strom, B L; Berlin, J A et al. Risk factors for delayed healing of neuropathic diabetic foot ulcers: a pooled analysis. Archives of Dermatology. 2000;volume 136(12):1531-1535.
                24. Hinchliffe, R J; Andros, G; Apelqvist, J; Bakker, K; Friederichs, S; Lammer, J; Lepantalo, M; Mills, J L; Reekers, J; Shearman, C P; Valk, G; Zierler, R E; Schaper, N C et al. A systematic review of the effectiveness of revascularization of the ulcerated foot in patients with diabetes and peripheral arterial disease. Diabetes/Metabolism Research and Reviews. 2012;volume 28 Suppl 1():179-217.
                25. Margolis, D J; Kantor, J; Berlin, J A et al. Healing of diabetic neuropathic foot ulcers receiving standard treatment. A meta-analysis. Diabetes Care. 1999;volume 22(5):692-695.
                26. Apelqvist, J; Larsson, J; Agardh, C D et al. Long-term prognosis for diabetic patients with foot ulcers. Journal of Internal Medicine. 1993;volume 233(6):485-491.
                27. Margolis DJ, Malay DS, Hoffstad OJ, Leonard CE, MaCurdy T, Tan Y, Molina T, de Nava KL, Siegel KL et al. Economic burden of diabetic foot ulcers and amputations: Data Points #3 . 2011;.
                28. World Health Organization 2016, et al. GLOBAL REPORT ON DIABETES . 2017;.
                29. National Center for Chronic Disease Prevention and Health Promotion (CDC), et al. Diabetes at a Glance 2016 - Working to Reverse the US Epidemic . 2017;.
                30. Singh N, Armstrong DG, Lipsky BA et al. Preventing foot ulcers in patients with diabetes. JAMA. 2005;volume 293(2):217-28.
                31. Abbott CA, Garrow AP, Carrington AL, Morris J, Van Ross ER, Boulton AJ, North-West diabetes foot care study. et al. Foot ulcer risk is lower in South-Asian and african-Caribbean compared with European diabetic patients in the U.K.: the North-West diabetes foot care study. Diabetes care. 2005;volume 28(8):1869-75.
                32. Margolis DJ, Malay DS, Hoffstad OJ, Leonard CE, MaCurdy T, López de Nava K, Tan Y, Molina T, Siegel KL et al. Prevalence of diabetes, diabetic foot ulcer, and lower extremity amputation among Medicare beneficiaries, 2006 to 2008: Data Points #1 . 2011;.
                33. Nussbaum SR, Carter MJ, Fife CE, DaVanzo J, Haught R, Nusgart M, Cartwright D et al. An Economic Evaluation of the Impact, Cost, and Medicare Policy Implications of Chronic Nonhealing Wounds. Value in health : the journal of the International Society for Pharmacoeconomics and Outcomes R.... 2018;volume 21(1):27-32.
                34. Bus SA, van Netten JJ et al. A shift in priority in diabetic foot care and research: 75% of foot ulcers are preventable. Diabetes/metabolism research and reviews. 2016;volume 32 Suppl 1():195-200.
                35. Crawford, Fay; Cezard, Genevieve; Chappell, Francesca M; Murray, Gordon D; Price, Jacqueline F; Sheikh, Aziz; Simpson, Colin R; Stansby, Gerard P; Young, Matthew J et al. A systematic review and individual patient data meta-analysis of prognostic factors for foot ulceration in people with diabetes: the international research collaboration for the prediction of diabetic foot ulcerations (PODUS). Health Technology Assessment. 2015;volume 19(57):1-210.
                36. Murray, H J; Young, M J; Hollis, S; Boulton, A J et al. The association between callus formation, high pressures and neuropathy in diabetic foot ulceration. Diabetic Medicine. 1996;volume 13(11):979-982.
                37. Boulton, A J M et al. The diabetic foot: from art to science. The 18th Camillo Golgi lecture. Diabetologia. 2004;volume 47(8):1343-1353.
                38. Nongmaithem, Mackson; Bawa, Arjinder Pal Singh; Pithwa, Abhilash Kumar; Bhatia, Simran Kaur; Singh, Gurjit; Gooptu, Somnath et al. A study of risk factors and foot care behavior among diabetics. Journal of family medicine and primary care. 2016;volume 5(2):399-403.
                39. Abbott, C A; Carrington, A L; Ashe, H; Bath, S; Every, L C; Griffiths, J; Hann, A W; Hussein, A; Jackson, N; Johnson, K E; Ryder, C H; Torkington, R; Van Ross, E R E; Whalley, A M; Widdows, ... et al. The North-West Diabetes Foot Care Study: incidence of, and risk factors for, new diabetic foot ulceration in a community-based patient cohort. Diabetic Medicine. 2002;volume 19(5):377-384.
                40. Boulton, Andrew JM et al. Endotext . 2016;.
                41. Costa, Rafael Henrique Rodrigues; Cardoso, Natália Anício; Procópio, Ricardo Jayme; Navarro, Túlio Pinho; Dardik, Alan; de Loiola Cisneros, Ligia et al. Diabetic foot ulcer carries high amputation and mortality rates, particularly in the presence of advanced age, peripheral artery disease and anemia. Diabetes & metabolic syndrome. 2017;.
                42. van Battum, P; Schaper, N; Prompers, L; Apelqvist, J; Jude, E; Piaggesi, A; Bakker, K; Edmonds, M; Holstein, P; Jirkovska, A; Mauricio, D; Ragnarson Tennvall, G; Reike, H; Spraul, M; Uccioli... et al. Differences in minor amputation rate in diabetic foot disease throughout Europe are in part explained by differences in disease severity at presentation. Diabetic Medicine. 2011;volume 28(2):199-205.
                43. Armstrong, D G; Lavery, L A; Harkless, L B et al. Validation of a diabetic wound classification system. The contribution of depth, infection, and ischemia to risk of amputation. Diabetes Care. 1998;volume 21(5):855-859.
                44. Lin C, Liu J, Sun H et al. Risk factors for lower extremity amputation in patients with diabetic foot ulcers: A meta-analysis. PloS one. 2020;volume 15(9):e0239236.
                45. Vinik, Aaron; Casellini, Carolina; Nevoret, Marie-Laure et al. Endotext . 2015;.
                46. Zhou, Zhen-Yu; Liu, Ya-Ke; Chen, Hong-Lin; Yang, Hui-Lin; Liu, Fan et al. HbA1c and Lower Extremity Amputation Risk in Patients With Diabetes: A Meta-Analysis. The international journal of lower extremity .... 2015;volume 14(2):168-177.
                47. Costa RHR, Cardoso NA, Procópio RJ, Navarro TP, Dardik A, de Loiola Cisneros L et al. Diabetic foot ulcer carries high amputation and mortality rates, particularly in the presence of advanced age, peripheral artery disease and anemia. Diabetes & metabolic syndrome. 2017;volume 11 Suppl 2():S583-S587.
                48. Liu M, Zhang W, Yan Z, Yuan X et al. Smoking increases the risk of diabetic foot amputation: A meta-analysis. Experimental and therapeutic medicine. 2018;volume 15(2):1680-1685.
                49. Shin JY, Roh SG, Sharaf B, Lee NH et al. Risk of major limb amputation in diabetic foot ulcer and accompanying disease: A meta-analysis. Journal of plastic, reconstructive & aesthetic surgery : JPRAS. 2017;volume 70(12):1681-1688.
                50. Shin JY, Roh SG, Lee NH, Yang KM et al. Influence of Epidemiologic and Patient Behavior-Related Predictors on Amputation Rates in Diabetic Patients: Systematic Review and Meta-Analysis. The international journal of lower extremity wounds. 2017;volume 16(1):14-22.
                51. Hsia HC, Eriksson E, Gurtner GC, Veves A, Hamdy O, Margolis DJ, Armstrong DG, Lavery LA, Grice EA, Schultz G, Conte MS, Kirsner RS, Attinger CE, Steinberg JS, Evans KK, Weir D, Kim PJ, Orgill DP, Liechty KW, Rubin JP et al. Management of Diabetic Wounds: Expert Panel Consensus Statement. Advances in wound care. 2025;.
                52. Margolis, David J; Allen-Taylor, Lynne; Hoffstad, Ole; Berlin, Jesse A et al. Diabetic neuropathic foot ulcers: predicting which ones will not heal. The American Journal of Medicine. 2003;volume 115(8):627-631.
                53. Christman, Andrea L; Selvin, Elizabeth; Margolis, David J; Lazarus, Gerald S; Garza, Luis A et al. Hemoglobin A1c predicts healing rate in diabetic wounds. The Journal of Investigative Dermatology. 2011;volume 131(10):2121-2127.
                54. Uccioli, Luigi; Izzo, Valentina; Meloni, Marco; Vainieri, Erika; Ruotolo, Valeria; Giurato, Laura et al. Non-healing foot ulcers in diabetic patients: general and local interfering conditions and management options with advanced wound dressings. Journal of Wound Care. 2015;volume 24(4 Suppl):35-42.
                55. Jia, Limin; Parker, Christina N; Parker, Tony J; Kinnear, Ewan M; Derhy, Patrick H; Alvarado, Ann M; Huygens, Flavia; Lazzarini, Peter A; Diabetic Foot Working Group, Queensland Statewide Di... et al. Incidence and risk factors for developing infection in patients presenting with uninfected diabetic foot ulcers. Plos One. 2017;volume 12(5):e0177916.
                56. Joseph McCulloch PhD PT CWS FACCWS FAPTA, ; Luther C. Kloth MS PT CWS FACCWS FAPTA, et al. Wound Healing: Evidence-Based Management (Contemporary Perspectives in Rehabilitation) . 2010;.
                57. Volmer-Thole, Maren; Lobmann, Ralf et al. Neuropathy and diabetic foot syndrome. International Journal of Molecular Sciences. 2016;volume 17(6):.
                58. Jeffcoate WJ, Harding KG et al. Diabetic foot ulcers. Lancet (London, England). 2003;volume 361(9368):1545-51.
                59. Azhary, Hend; Farooq, Muhammad U; Bhanushali, Minal; Majid, Arshad; Kassab, Mounzer Y et al. Peripheral Neuropathy: Differential Diagnosis and Management - American Family Physician American Family Physician. 2010;.
                60. Pop-Busui, Rodica; Boulton, Andrew J M; Feldman, Eva L; Bril, Vera; Freeman, Roy; Malik, Rayaz A; Sosenko, Jay M; Ziegler, Dan et al. Diabetic neuropathy: A position statement by the american diabetes association. Diabetes Care. 2017;volume 40(1):136-154.
                61. Amemiya, Ayumi; Noguchi, Hiroshi; Oe, Makoto; Takehara, Kimie; Ohashi, Yumiko; Suzuki, Ryo; Yamauchi, Toshimasa; Kadowaki, Takashi; Sanada, Hiromi; Mori, Taketoshi et al. Shear Stress-Normal Stress (Pressure) Ratio Decides Forming Callus in Patients with Diabetic Neuropathy. Journal of diabetes research. 2016;volume 2016():3157123.
                62. Armstrong, D G; Lavery, L A et al. Diabetic foot ulcers: prevention, diagnosis and classification. American Family Physician. 2017;volume 57(6):1325-32, 1337.
                63. Norman, Paul E; Davis, Wendy A; Bruce, David G; Davis, Timothy M E et al. Peripheral arterial disease and risk of cardiac death in type 2 diabetes: the Fremantle Diabetes Study. Diabetes Care. 2006;volume 29(3):575-580.
                64. Boulton, Andrew J M; Armstrong, David G; Albert, Stephen F; Frykberg, Robert G; Hellman, Richard; Kirkman, M Sue; Lavery, Lawrence A; Lemaster, Joseph W; Mills, Joseph L; Mueller, Michael J;... et al. Comprehensive foot examination and risk assessment: a report of the task force of the foot care interest group of the American Diabetes Association, with endorsement by the American Association of Clinical Endocrinologists. Diabetes Care. 2008;volume 31(8):1679-1685.
                65. Reiber, G E; Vileikyte, L; Boyko, E J; del Aguila, M; Smith, D G; Lavery, L A; Boulton, A J et al. Causal pathways for incident lower-extremity ulcers in patients with diabetes from two settings. Diabetes Care. 1999;volume 22(1):157-162.
                66. Rajala, Satu; Lekkala, Jukka et al. Plantar shear stress measurements - A review. Clinical Biomechanics. 2014;volume 29(5):475-483.
                67. Freeman, Denise B et al. Corns and Calluses Resulting from Mechanical Hyperkeratosis - American Family Physician American Family Physician. 2002;.
                68. American Orthopaedic Foot & Ankle Society, et al. Charcot Arthropathy . 2017;.
                69. Mount Laurel (NJ). Wound, Ostomy and Continence Nurses Society (WOCN), editor. Wound, Ostomy and Continence Nurses Society (WOCN). Guideline for management of wounds in patients with lower-extremity arterial disease. Wound, Ostomy and Continence Nurses Society (WOCN). . 2014;.
                70. Lipsky, Benjamin A; Aragón-Sánchez, Javier; Diggle, Mathew; Embil, John; Kono, Shigeo; Lavery, Lawrence; Senneville, Éric; Urbančič-Rovan, Vilma; Van Asten, Suzanne; International Working Gr... et al. IWGDF guidance on the diagnosis and management of foot infections in persons with diabetes. Diabetes/Metabolism Research and Reviews. 2016;volume 32 Suppl 1():45-74.
                71. American Diabetes Association. 10. microvascular complications and foot care. Diabetes Care. 2017;volume 40(Suppl 1):S88-S98.
                72. Lavery, Lawrence A; Davis, Kathryn E; Berriman, Sandra J; Braun, Liza; Nichols, Adam; Kim, Paul J; Margolis, David; Peters, Edgar J; Attinger, Chris et al. WHS guidelines update: Diabetic foot ulcer treatment guidelines. Wound Repair and Regeneration. 2016;volume 24(1):112-126.
                73. Molnar, Joseph A; Vlad, Lucian G; Gumus, Tuna et al. Nutrition and chronic wounds: improving clinical outcomes. Plastic and Reconstructive Surgery. 2016;volume 138(3 Suppl):71S-81S.
                74. Cornell RS, Meyr AJ et al. Perceived Concerns of Patients at Risk for Lower Extremity Amputation. Wounds : a compendium of clinical research and practice. 2018;volume 30(2):45-48.
                75. American Orthopaedic Foot & Ankle Society, et al. 10 Points of Proper Shoe Fit . 2017;.
                76. de Macedo, Geisa Maria Campos; Nunes, Samanta; Barreto, Tania et al. Skin disorders in diabetes mellitus: an epidemiology and physiopathology review. Diabetology & metabolic syndrome. 2016;volume 8(1):63.
                77. J. Terrence Jose Jerome. [CC BY 3.0 (http://creativecommons.org/licenses/by/3.0)]. Charcot arthropathy clinical examination [Internet]. Wikimedia Commons. [cited 2017 Dec 8]. Available from: https://commons.wikimedia.org/wiki/File:Charcot_arthropathy_clinical_examination.jpg . 2017;.
                78. J. Terrence Jose Jerome. [CC BY 3.0 (http://creativecommons.org/licenses/by/3.0)]. Charcot arthropathy X-ray [Internet]. Wikimedia Commons. [cited 2017 Dec 9]. Available from: https://commons.wikimedia.org/wiki/File%3ACharcot_arthropathy_X-ray.jpg . 2017;.
                79. LoGerfo, F W; Coffman, J D et al. Current concepts. Vascular and microvascular disease of the foot in diabetes. Implications for foot care. The New England Journal of Medicine. 1984;volume 311(25):1615-1619.
                80. Miyazawa, Teruo; Nakagawa, Kiyotaka; Shimasaki, Satoko; Nagai, Ryoji et al. Lipid glycation and protein glycation in diabetes and atherosclerosis. Amino Acids. 2012;volume 42(4):1163-1170.
                81. Sharma S, Kerry C, Atkins H, Rayman G et al. The Ipswich Touch Test: a simple and novel method to screen patients with diabetes at home for increased risk of foot ulceration. Diabetic medicine : a journal of the British Diabetic Association. 2014;volume 31(9):1100-3.
                82. Enoch, Stuart; Grey, Joseph E; Harding, Keith G et al. ABC of wound healing. Non-surgical and drug treatments. BMJ (Clinical Research Ed.). 2006;volume 332(7546):900-903.
                83. Edmonds, Michael E; Foster, A V M et al. Diabetic foot ulcers. BMJ (Clinical Research Ed.). 2006;volume 332(7538):407-410.
                84. Li, Zhenyun; Wang, Mingzhen; Sui, Zhaoxia; Zheng, Yanhong; Wang, Chunxiang et al. Individualized procedures for wound bed preparation and dressings for diabetic foot ulcers in elderly patients Biomedical Research. 2017;.
                85. Livingston, M; Wolvos, T et al. Scottsdale Wound Management Guide . 2015;.
                86. By Jonathan Moore . [CC BY 3.0 (http://creativecommons.org/licenses/by/3.0)], via Wikimedia Commons. Neuropathic Foot Ulcer. . 2017;.
                87. By Intermedichbo (Own work) . [CC BY-SA 3.0 (https://creativecommons.org/licenses/by-sa/3.0)], via Wikimedia Commons. Ischemic Diabetic Foot Ulcer. . 2017;.
                88. By Phalinn Ooi from Kuala Lumpur, Malaysia (IMAG0074) et al. [CC BY 2.0 (http://creativecommons.org/licenses/by/2.0)], via Wikimedia Commons. Neuroischemic Ulcer. . 2017;.
                89. Lepäntalo, M; Apelqvist, J; Setacci, C; Ricco, J-B; de Donato, G; Becker, F; Robert-Ebadi, H; Cao, P; Eckstein, H H; De Rango, P; Diehm, N; Schmidli, J; Teraa, M; Moll, F L; Dick, F; Davies,... et al. Chapter V: Diabetic foot. European Journal of Vascular and Endovascular.... 2011;volume 42 Suppl 2():S60-74.
                90. Lipsky, Benjamin A; Berendt, Anthony R; Deery, H Gunner; Embil, John M; Joseph, Warren S; Karchmer, Adolf W; LeFrock, Jack L; Lew, Daniel P; Mader, Jon T; Norden, Carl; Tan, James S; Infecti... et al. Diagnosis and treatment of diabetic foot infections. Clinical Infectious Diseases. 2004;volume 39(7):885-910.
                91. Hinchliffe, R J; Brownrigg, J R W; Apelqvist, J; Boyko, E J; Fitridge, R; Mills, J L; Reekers, J; Shearman, C P; Zierler, R E; Schaper, N C; International Working Group on the Diabetic Foot et al. IWGDF guidance on the diagnosis, prognosis and management of peripheral artery disease in patients with foot ulcers in diabetes. Diabetes/Metabolism Research and Reviews. 2016;volume 32 Suppl 1():37-44.
                92. Lavery LA, Armstrong DG, Peters EJ, Lipsky BA et al. Probe-to-bone test for diagnosing diabetic foot osteomyelitis: reliable or relic? Diabetes care. 2007;volume 30(2):270-4.
                93. Armstrong D. How Accurate Is The Probe To Bone Test In Diagnosing Osteomyelitis? Podiatry Today. 2016;.
                94. Kaleta JL, Fleischli JW, Reilly CH et al. The diagnosis of osteomyelitis in diabetes using erythrocyte sedimentation rate: a pilot study. Journal of the American Podiatric Medical Association. 2001;volume 91(9):445-50.
                95. Macedo GMC. . Capítulo 06 - Osteomielite em pé diabético [Internet]. E-book 2.0 Diabetes na Pratica Clinica. [cited 2017 Nov 16]. Available from: http://www.diabetes.org.br/ebook/component/k2/item/44-osteomielite-em-pe-diabetico . 2017;.
                96. Isei T, Abe M, Ikegami R, et al. et al. Wound, pressure ulcer, and burn guidelines – 3: Guidelines for the diagnosis and treatment of diabetic ulcers and gangrene, second edition. The Journal of Dermatology. 2025;volume 52(1):.
                97. American Diabetes Association. 5. Glycemic Targets. Diabetes Care. 2016;volume 39 Suppl 1():S39-46.
                98. Puéchal, X; Said, G; Hilliquin, P; Coste, J; Job-Deslandre, C; Lacroix, C; Menkès, C J et al. Peripheral neuropathy with necrotizing vasculitis in rheumatoid arthritis. A clinicopathologic and prognostic study of thirty-two patients. Arthritis and Rheumatism. 1995;volume 38(11):1618-1629.
                99. Lang, Magdalena; Treister, Roi; Oaklander, Anne Louise et al. Diagnostic value of blood tests for occult causes of initially idiopathic small-fiber polyneuropathy. Journal of Neurology. 2016;volume 263(12):2515-2527.
                100. Andersen CA. Noninvasive assessment of lower extremity hemodynamics in individuals with diabetes mellitus. Journal of vascular surgery. 2010;volume 52(3 Suppl):76S-80S.
                101. Fitridge R, Chuter V, Mills J, Hinchliffe R, Azuma N, Behrendt CA, Boyko EJ, Conte MS, Humphries M, Kirksey L, McGinigle KC, Nikol S, Nordanstig J, Rowe V, Russell D, van den Berg JC, Venermo M, Schaper N et al. The intersocietal IWGDF, ESVS, SVS guidelines on peripheral artery disease in people with diabetes and a foot ulcer. Diabetes/metabolism research and reviews. 2023;.
                102. Tsai FW, Tulsyan N, Jones DN, Abdel-Al N, Castronuovo JJ Jr, Carter SA et al. Skin perfusion pressure of the foot is a good substitute for toe pressure in the assessment of limb ischemia. Journal of vascular surgery. 2000;volume 32(1):32-6.
                103. Sibley RC 3rd, Reis SP, MacFarlane JJ, Reddick MA, Kalva SP, Sutphin PD et al. Noninvasive Physiologic Vascular Studies: A Guide to Diagnosing Peripheral Arterial Disease. Radiographics : a review publication of the Radiological Society of North America, Inc. 2017;volume 37(1):346-357.
                104. Alavi A, Sibbald RG, Nabavizadeh R, Valaei F, Coutts P, Mayer D et al. Audible handheld Doppler ultrasound determines reliable and inexpensive exclusion of significant peripheral arterial disease. Vascular. 2015;volume 23(6):622-9.
                105. Bonnet E, Maulin L, Senneville E, Castan B, Fourcade C, Loubet P, Poitrenaud D, Schuldiner S, Sotto A, Lavigne JP, Lesprit P, individual members of the “Review group” et al. Clinical practice recommendations for infectious disease management of diabetic foot infection (DFI) - 2023 SPILF. Infectious diseases now. 2024;volume 54(1):104832.
                106. Sibbald RG, Elliott JA, Persaud-Jaimangal R, Goodman L, Armstrong DG, Harley C, Coelho S, Xi N, Evans R, Mayer DO, Zhao X, Heil J, Kotru B, Delmore B, LeBlanc K, Ayello EA, Smart H, Tariq G, Alavi A, Somayaji R et al. Wound Bed Preparation 2021. Advances in skin & wound care. 2021;volume 34(4):183-195.
                107. Lipsky, Benjamin A; Berendt, Anthony R; Cornia, Paul B; Pile, James C; Peters, Edgar J G; Armstrong, David G; Deery, H Gunner; Embil, John M; Joseph, Warren S; Karchmer, Adolf W; Pinzur, Mic... et al. 2012 Infectious Diseases Society of America clinical practice guideline for the diagnosis and treatment of diabetic foot infections. Clinical Infectious Diseases. 2012;volume 54(12):e132-73.
                108. Smith ME, Robinowitz N, Chaulk P, Johnson K et al. Comparison of chronic wound culture techniques: swab versus curetted tissue for microbial recovery. British journal of community nursing. 2014;volume Suppl():S22-6.
                109. Levine NS, Lindberg RB, Mason AD Jr, Pruitt BA Jr et al. The quantitative swab culture and smear: A quick, simple method for determining the number of viable aerobic bacteria on open wounds. The Journal of trauma. 1976;volume 16(2):89-94.
                110. Senneville E, Joulie D, Blondiaux N, Robineau O et al. Surgical techniques for Bone Biopsy in Diabetic Foot Infection, and association between results and treatment duration. Journal of bone and joint infection. 2020;volume 5(4):198-204.
                111. By James Heilman, MD (Own work) et al. [CC BY-SA 4.0 (https://creativecommons.org/licenses/by-sa/4.0)], via Wikimedia Commons. File:OsteomylitisMark.png - Wikimedia Commons. . 2017;.
                112. By Occupational Safety and Health Administration. [Public domain], via Wikimedia Commons. Electrical burn exit wound . 2017;.
                113. Medetek. Pressure ulcer on heel [Internet]. Medetek. [cited 2017 Dec 9]. Available from: http://www.medetec.co.uk/slide%20scans/pressure-ulcer-images-a/target11.html . 2017;.
                114. By Onthelist (Own work). [CC BY-SA 4.0 (https://creativecommons.org/licenses/by-sa/4.0)], via Wikimedia Commons. 55 year old female with advanced Buerger’s disease. . 2017;.
                115. Hronična rana — Википедија. слободна енциклопедија [Internet]. [cited 2017 Dec 10]. Available from: https://sr.wikipedia.org/wiki/Hroni%C4%8Dna_rana . 2017;.
                116. By Will Blake (Own work) . [GFDL (http://www.gnu.org/copyleft/fdl.html) or CC-BY-SA-3.0 (http://creativecommons.org/licenses/by-sa/3.0/)], via Wikimedia Commons. Melanoma left foot. . 2017;.
                117. By Marionette1 (Own work) . [CC BY-SA 3.0 (https://creativecommons.org/licenses/by-sa/3.0) or GFDL (http://www.gnu.org/copyleft/fdl.html)], via Wikimedia Commons. Dornwarzen und Operationsnarben. . 2017;.
                118. By James Heilman, MD (Own work) et al. [CC BY-SA 3.0 (https://creativecommons.org/licenses/by-sa/3.0) or GFDL (http://www.gnu.org/copyleft/fdl.html)], via Wikimedia Commons. Footpuncture. . 2017;.
                119. By Crohnie (Own work) . [Public domain], via Wikimedia Commons. Crohnie Pyoderma gangrenosum. . 2017;.
                120. By Hellerhoff (Own work) . [CC BY-SA 3.0 (https://creativecommons.org/licenses/by-sa/3.0) or GFDL (http://www.gnu.org/copyleft/fdl.html)], via Wikimedia Commons. File:Charcotfuss.jpg - Wikimedia Commons. . 2017;.
                121. Canadian Association of Wound Care (Wounds Canada). Foundations of Best Practice for Skin and Wound Management . 2018;.
                122. International Diabetes Federation. International Diabetes Federation. Clinical Practice Recommendation on the Diabetic Foot: A guide for health care professionals . 2017;.
                123. NICE guideline [NG19]. Diabetic foot problems: prevention and management . 2015;.
                124. Wagner, F W et al. The dysvascular foot: a system for diagnosis and treatment. Foot & ankle. 1981;volume 2(2):64-122.
                125. Lavery, L A; Armstrong, D G; Harkless, L B et al. Classification of diabetic foot wounds. The Journal of Foot and Ankle Surgery. 1996;volume 35(6):528-531.
                126. Ince, Paul; Abbas, Zulfiqarali G; Lutale, Janet K; Basit, Abdul; Ali, Syed Mansoor; Chohan, Farooq; Morbach, Stephan; Möllenberg, Jörg; Game, Fran L; Jeffcoate, William J et al. Use of the SINBAD classification system and score in comparing outcome of foot ulcer management on three continents. Diabetes Care. 2008;volume 31(5):964-967.
                127. Ndip, Agbor; Jude, Edward B et al. Emerging evidence for neuroischemic diabetic foot ulcers: model of care and how to adapt practice. The international journal of lower extremity .... 2009;volume 8(2):82-94.
                128. American Medical Association. ICD-10-CM Documentation 2019: Essential Charting Guidance to Support Medical Necessity . 2019;.
                129. Haryanto, Haryanto; Arisandi, Defa; Suriadi, Suriadi; Imran, Imran; Ogai, Kazuhiro; Sanada, Hiromi; Okuwa, Mayumi; Sugama, Junko et al. Relationship between maceration and wound healing on diabetic foot ulcers in Indonesia: a prospective study. International wound journal. 2017;volume 14(3):516-522.
                130. Harris, Connie; Bates-Jensen, Barbara; Parslow, Nancy; Raizman, Rose; Singh, Mina; Ketchen, Robert et al. Bates-Jensen wound assessment tool: pictorial guide validation project. Journal of Wound, Ostomy, and Continence Nurs.... 2010;volume 37(3):253-259.
                131. Alavi, Afsaneh; Sibbald, R Gary; Phillips, Tania J; Miller, O Fred; Margolis, David J; Marston, William; Woo, Kevin; Romanelli, Marco; Kirsner, Robert S et al. What's new: Management of venous leg ulcers: Approach to venous leg ulcers. Journal of the American Academy of Dermatolog.... 2016;volume 74(4):627-40; quiz 641.
                132. Wukich DK, Raspovic KM et al. Assessing Health-Related Quality of Life in Patients With Diabetic Foot Disease: Why Is It Important and How Can We Improve? The 2017 Roger E. Pecoraro Award Lecture. Diabetes care. 2018;volume 41(3):391-397.
                133. CMS, Quality Payment Program et al. Explore Measures - Program Performance - Quality Payment Program .;.
                134. Del Core MA, Ahn J, Wukich DK, Liu GT, Lalli T, VanPelt MD, Raspovic KM et al. Gender Differences on SF-36 Patient-Reported Outcomes of Diabetic Foot Disease. The international journal of lower extremity wounds. 2018;volume 17(2):87-93.
                135. Ahmad A, Abujbara M, Jaddou H, Younes NA, Ajlouni K et al. Anxiety and Depression Among Adult Patients With Diabetic Foot: Prevalence and Associated Factors. Journal of clinical medicine research. 2018;volume 10(5):411-418.
                Topic 646 Version 3.0

                SUBTOPICS

                Diabetic Foot Ulcer Classifications - Wagner, University of Texas, WIfI, IDSA. Actionable tables with pictures and documentation tips for proper ICD-10 coding

                RELATED TOPICS

                Diabetic Foot Ulcers (DFUs) are a chronic problem. Recurrence rates range from 8–59% however, up to 75% of DFUs may be preventable. Therefore, long-term maintenance must be addressed even for healed ulcers to prevent recurrence.

                Diabetic foot ulcer (DFU) management with a concise algorithm which can be used at the point-of-care

                Diabetic foot ulcers overview: evidence-based clinical guidelines, quality measures and resources

                12/15/2025 11:10:07 AM
                t
                -->